Phim X quang của một trẻ bị viêm thanh khí phế quản (ảnh đứng dọc)
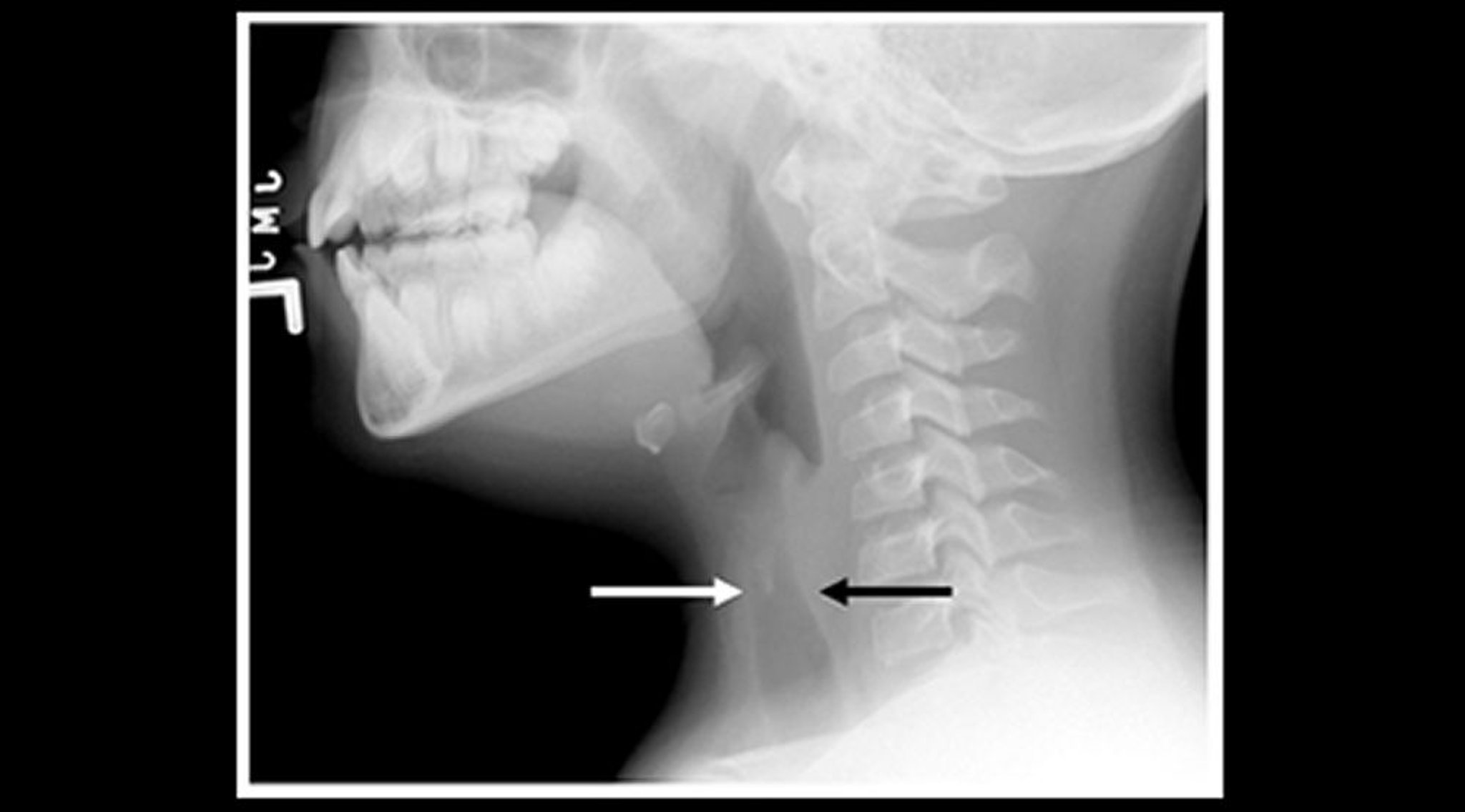
Phim X quang phần mềm ở cổ của một trẻ bị viêm thanh khí phế quản cho thấy bóng khí khí quản dưới thanh môn thu hẹp (mũi tên) và giãn các khoang khí ở hầu.
Hình ảnh do bác sĩ John McBride cung cấp.
Trong các chủ đề này
