Phim chụp CT có thuốc cản quang cho thấy các động mạch vành bình thường – Lát cắt 6
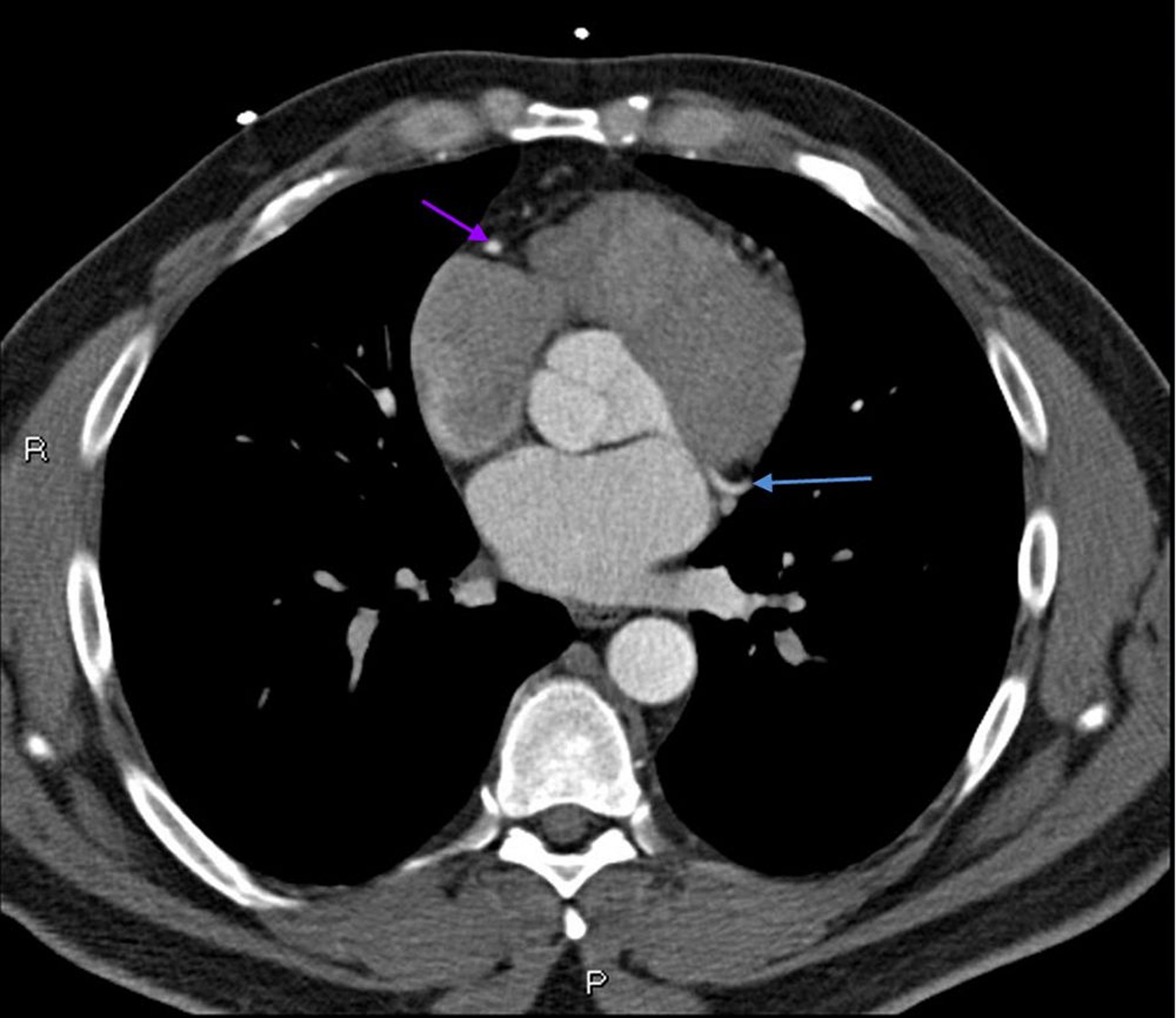
Phim chụp CT có thuốc cản quang này cho thấy các động mạch vành bình thường. Động mạch chính bên trái được biểu thị bằng mũi tên màu đỏ. Động mạch vành xuống trước trái và động mạch mũ trái lần lượt được biểu thị bằng mũi tên xanh lá cây và xanh lam và động mạch vành phải được biểu thị bằng mũi tên màu tím.
© 2017 Bác sĩ Elliot K. Fishman.
Trong các chủ đề này
