honeypot link
skip to main content
MSDMSD ManualPhiên bản dành cho chuyên gia
CÁC CHỦ ĐỀ Y KHOANGUỒNBÌNH LUẬNCÁC THỦ THUẬTGIỚI THIỆU
homeCÁC CHỦ ĐỀ Y KHOANGUỒN
Search icon
  1. <Hình ảnh
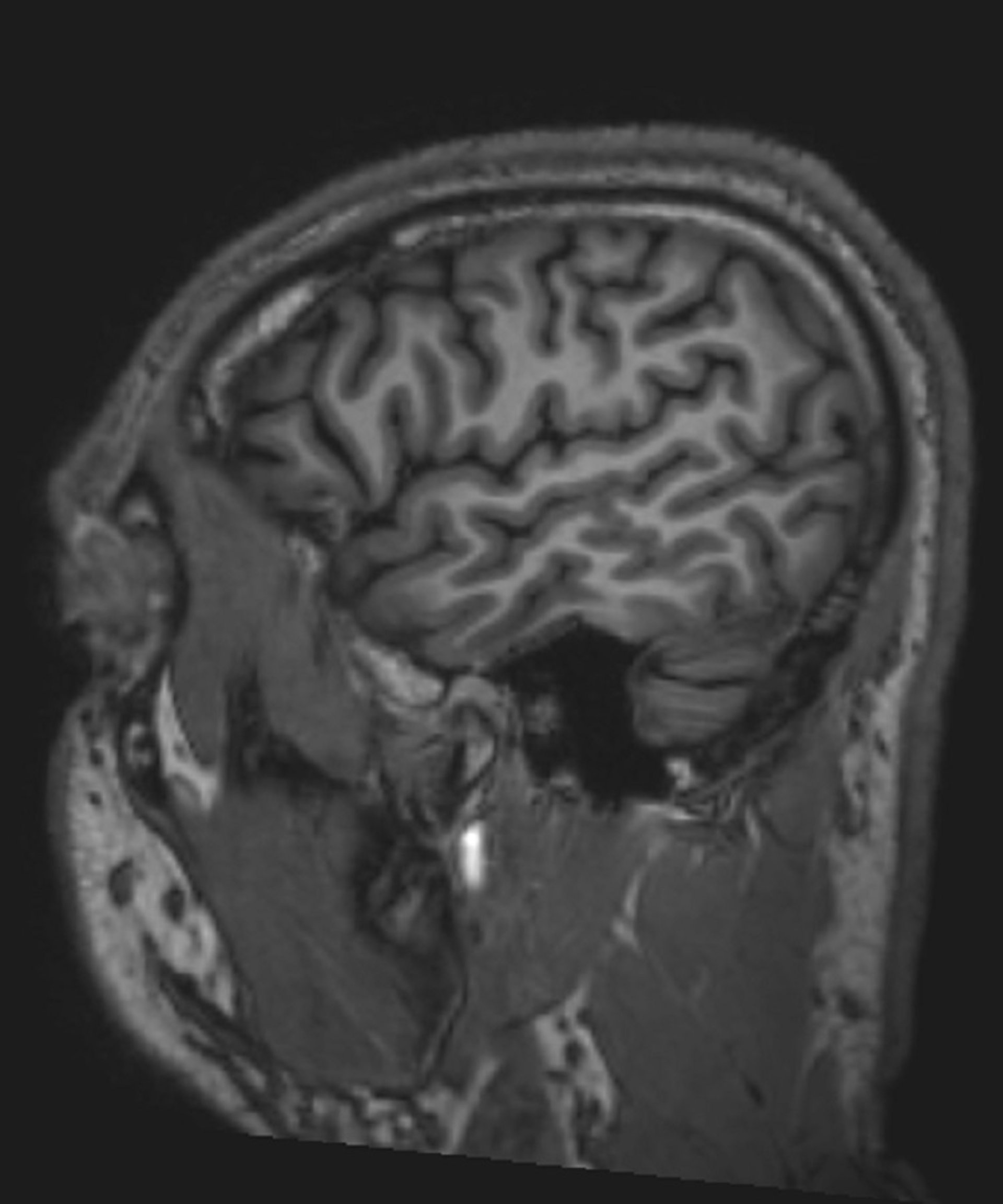
    Phim chụp MRI não bình thường (đứng dọc) – Lát cắt 1

    Phim chụp MRI não bình thường (đứng dọc) – Lát cắt 1

    © 2017 Bác sĩ Elliot K. Fishman.

    Trong các chủ đề này
    • Chụp cộng hưởng từ trong các bệnh thần kinh >
    MSD
    • Giới thiệu
    • Từ chối trách nhiệm
    • Quyền
    • Quyền riêng tư
    • Các điều khoản sử dụng
    • Cấp giấy phép
    • Liên hệ với chúng tôi
    • Cẩm nang thú y
    This icon serves as a link to download the eSSENTIAL Accessibility assistive technology app for individuals with physical disabilities. It is featured as part of our commitment to diversity and inclusion.
    This icon serves as a link to download the eSSENTIAL Accessibility assistive technology app for individuals with physical disabilities. It is featured as part of our commitment to diversity and inclusion.
    MSD

    Bản quyền© 2026Merck & Co., Inc., Rahway, NJ, USA và các chi nhánh của công ty. Bảo lưu mọi quyền.