honeypot link
skip to main content
MSD Manual
Phiên bản dành cho chuyên gia
CÁC CHỦ ĐỀ Y KHOA
NGUỒN
BÌNH LUẬN
CÁC THỦ THUẬT
GIỚI THIỆU
CÁC CHỦ ĐỀ Y KHOA
NGUỒN
<
Hình ảnh
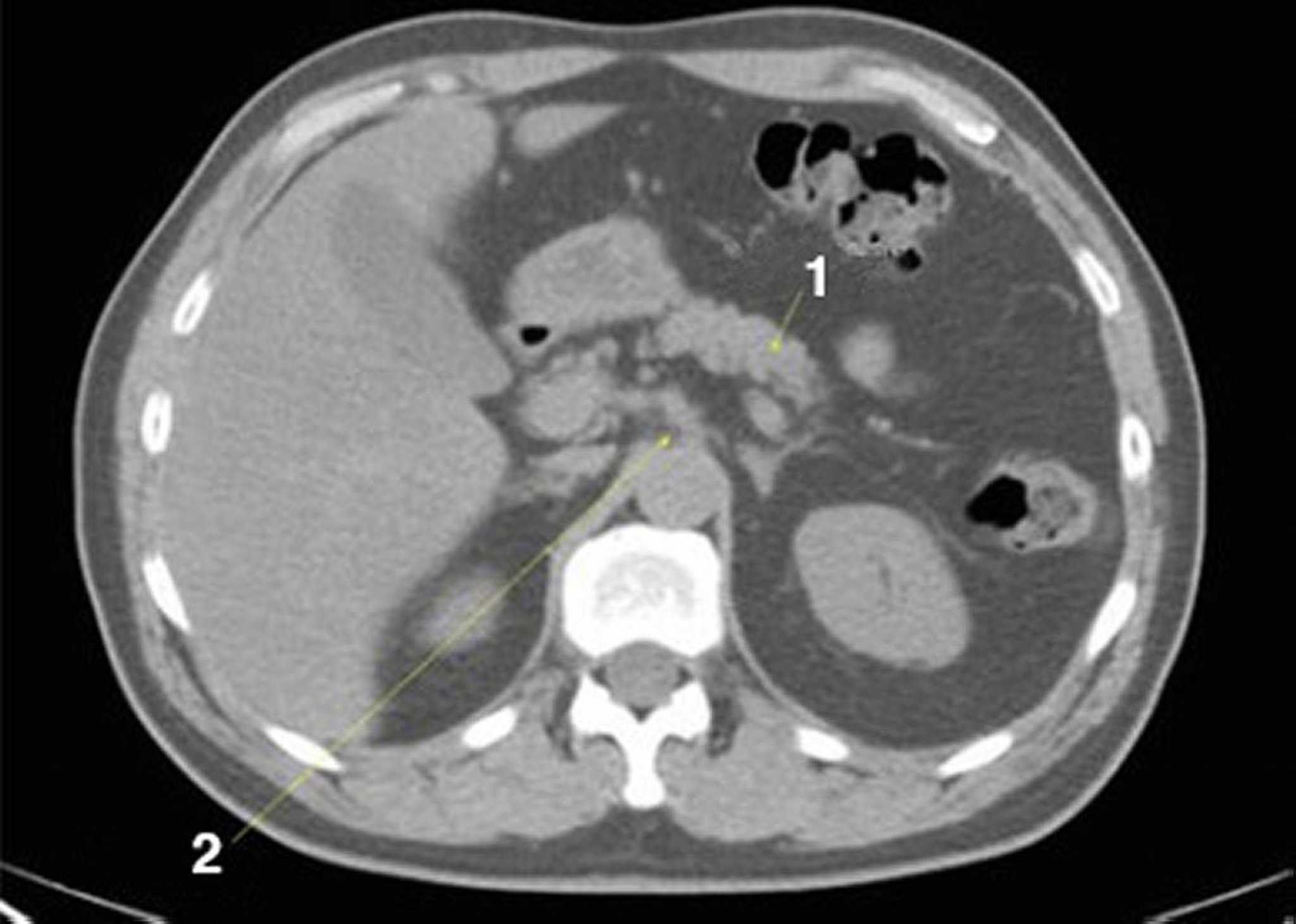
Phim chụp CT vùng bụng và vùng chậu không thuốc cản quang cho thấy giải phẫu bình thường (lát cắt 9)
1 = tụy; 2 = trục celiac.
© Springer Science+Business Media
Trong các chủ đề này
Đánh giá bệnh nhân có bệnh lý tiêu hóa
>