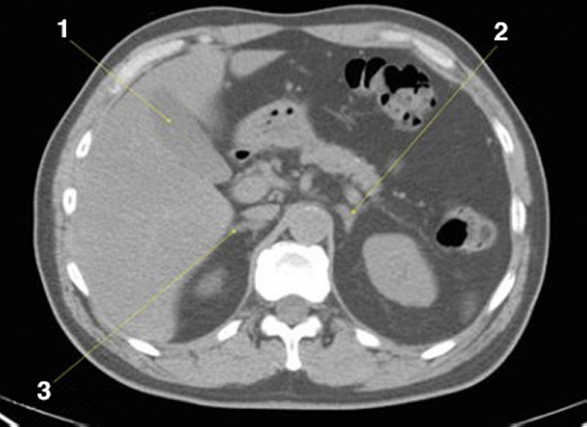
Phim chụp CT vùng bụng và vùng chậu không thuốc cản quang cho thấy giải phẫu bình thường (lát cắt 8)
1 = túi mật; 2 = tuyến thượng thận trái; 3 = tuyến thượng thận phải.
© Springer Science+Business Media
Trong các chủ đề này
1 = túi mật; 2 = tuyến thượng thận trái; 3 = tuyến thượng thận phải.
© Springer Science+Business Media