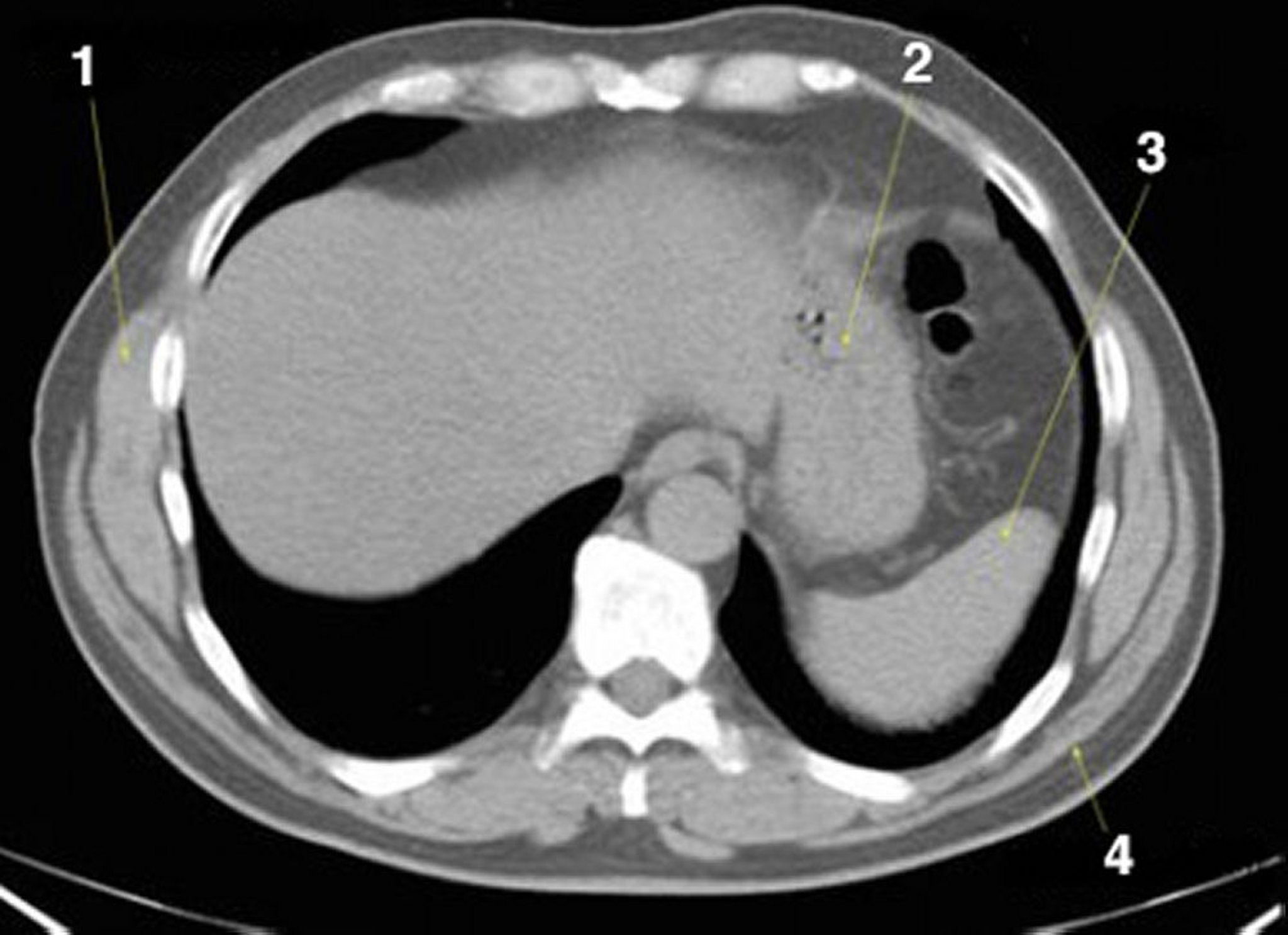
Phim chụp CT vùng bụng và vùng chậu không thuốc cản quang cho thấy giải phẫu bình thường (lát cắt 2)
1 = cơ răng trước; 2 = dạ dày; 3 = lách; 4 = cơ lưng rộng.
© Springer Science+Business Media
Trong các chủ đề này
1 = cơ răng trước; 2 = dạ dày; 3 = lách; 4 = cơ lưng rộng.
© Springer Science+Business Media