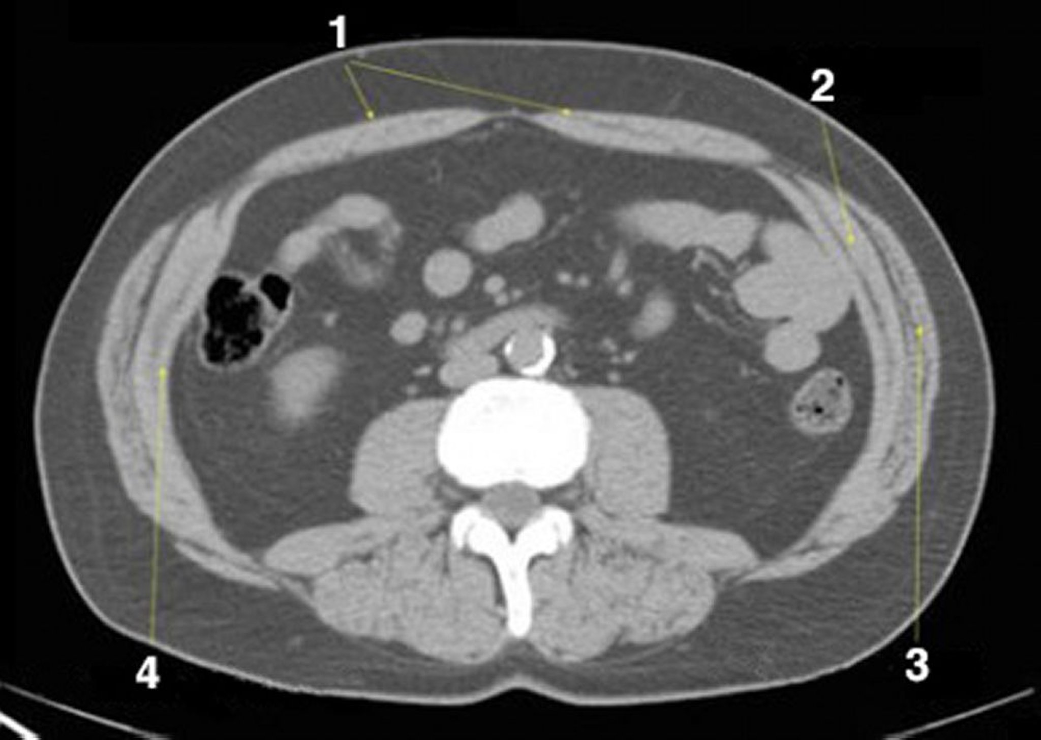
Phim chụp CT vùng bụng và vùng chậu không thuốc cản quang cho thấy giải phẫu bình thường (lát cắt 19)
1 = cơ bụng thẳng; 2 = cơ chéo trong; 3 = cơ chéo ngoài; 4 = cơ bụng ngang.
© Springer Science+Business Media
Trong các chủ đề này
1 = cơ bụng thẳng; 2 = cơ chéo trong; 3 = cơ chéo ngoài; 4 = cơ bụng ngang.
© Springer Science+Business Media