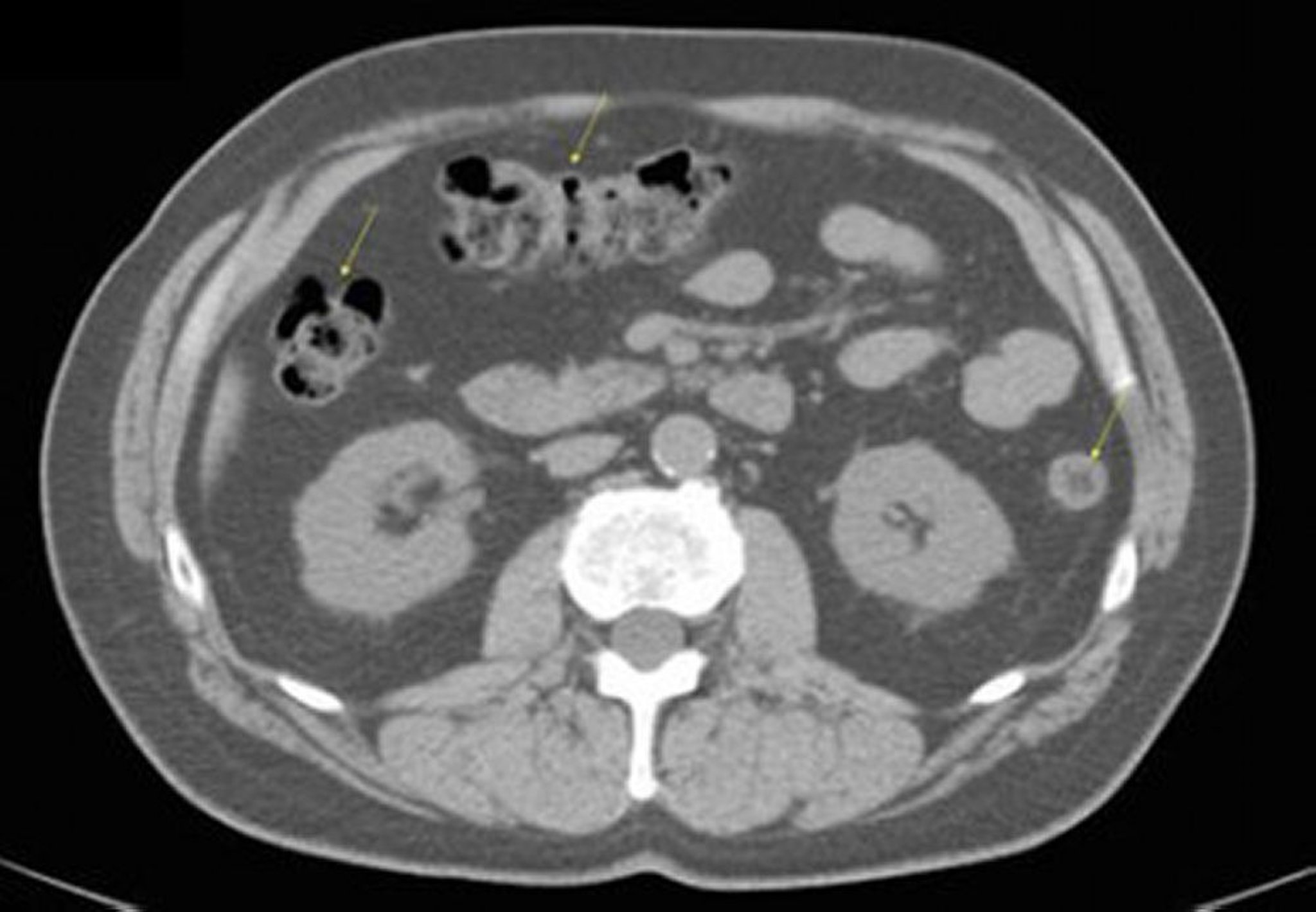
Phim chụp CT vùng bụng và vùng chậu không thuốc cản quang cho thấy giải phẫu bình thường (lát cắt 17)

Phim chụp CT vùng bụng và vùng chậu không thuốc cản quang cho thấy giải phẫu bình thường (lát cắt 17)

Hình ảnh này cho thấy đại tràng (mũi tên).

© Springer Science+Business Media