Phình động mạch chủ bụng (chụp CT)

Phình động mạch chủ bụng (chụp CT)

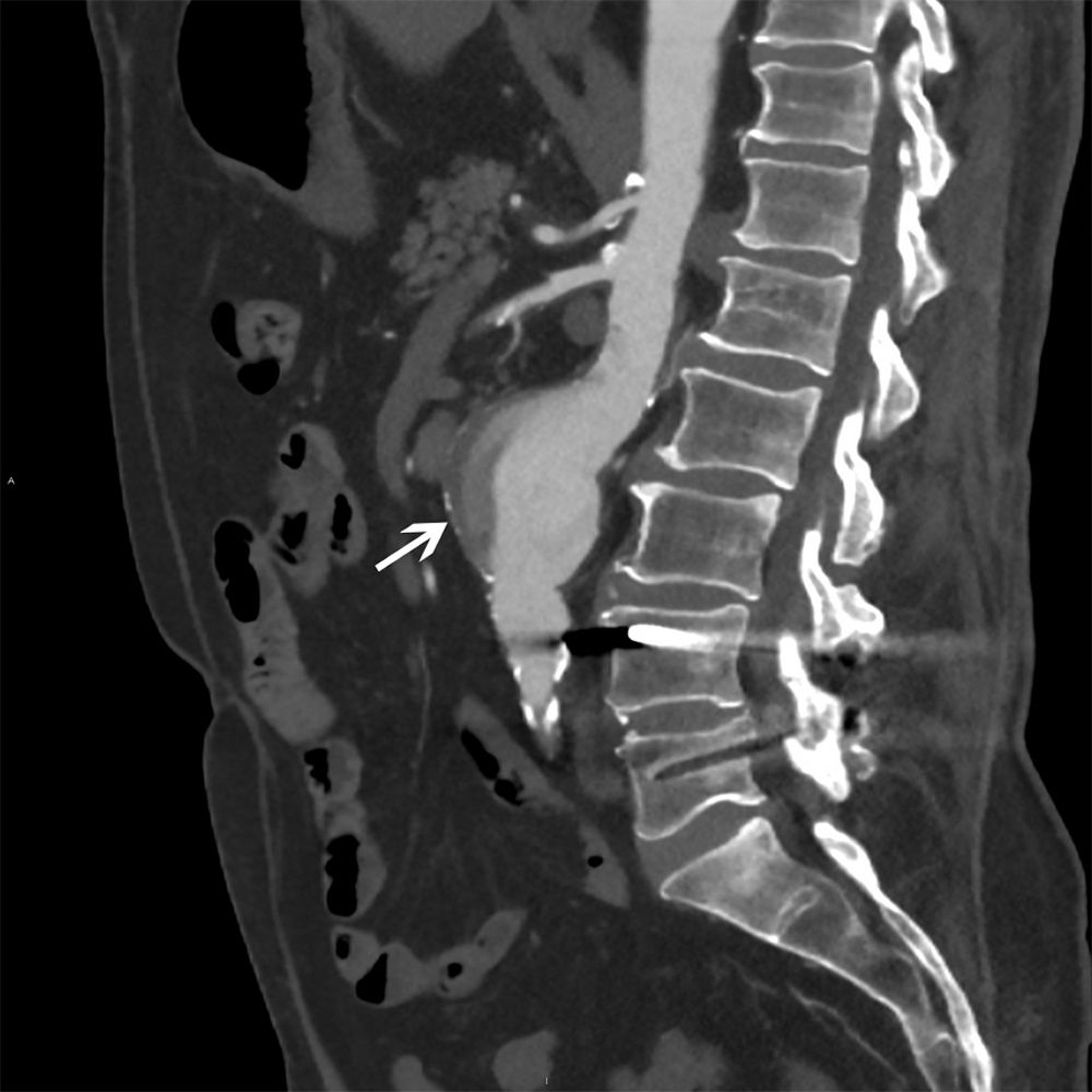
Mũi tên màu trắng cho thấy một phình động mạch chủ bụng có kích thước 5 cm với dòng chảy không đồng nhất và mảng bám trên thành.

© 2017 Bác sĩ Elliot K. Fishman.