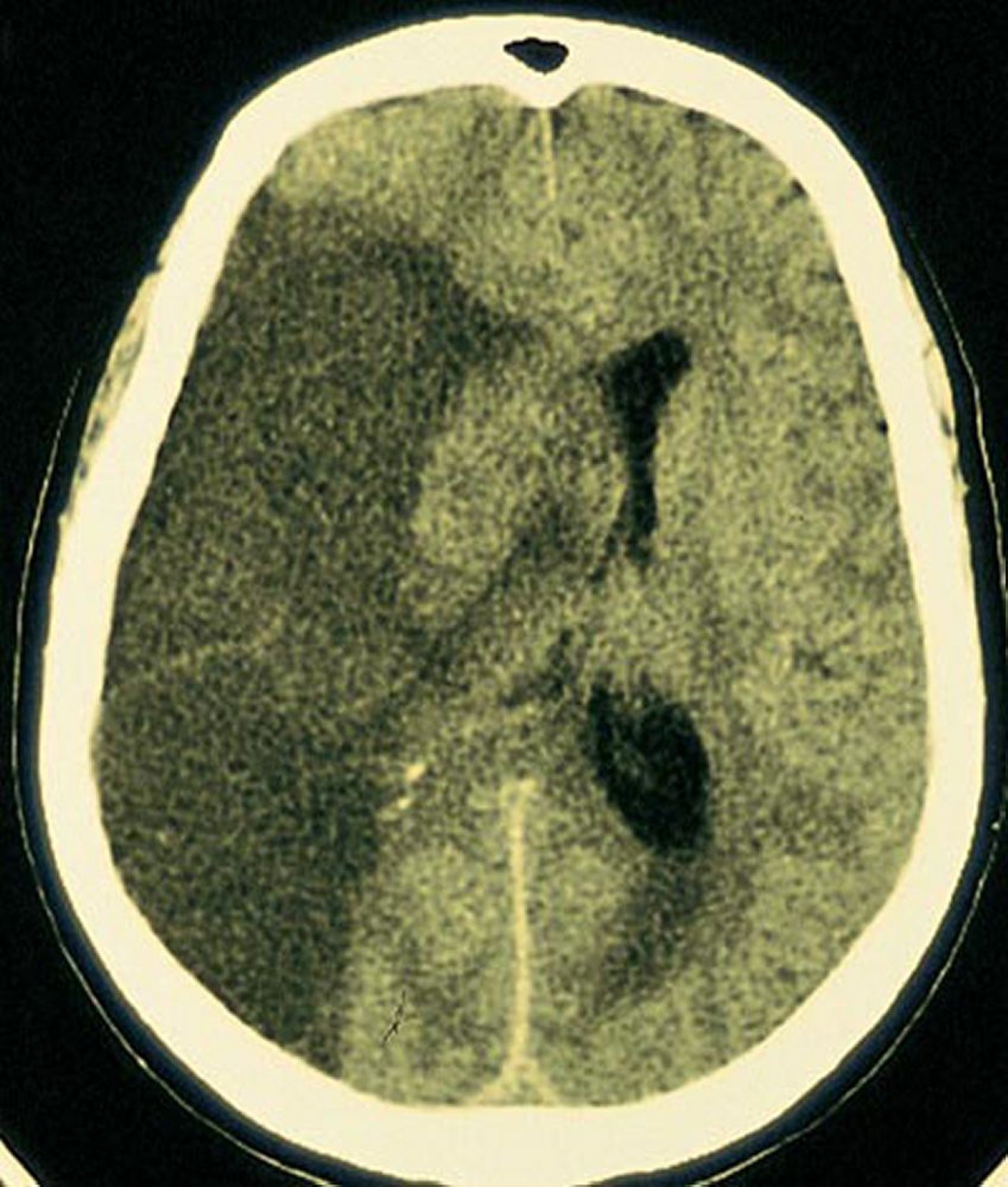
Nhồi máu động mạch não giữa
Quan sát thấy nhồi máu vùng sáng rộng ở vùng não được cấp máu bởi động mạch não giữa bên phải.
Được sự cho phép của nhà xuất bản. Từ Furie K, và cộng sự: Cerebrovascular disease. Trong Atlas of Clinical Neurology. Biên tập bởi RN Rosenberg. Philadelphia, Current Medicine, 2002.
Trong các chủ đề này
