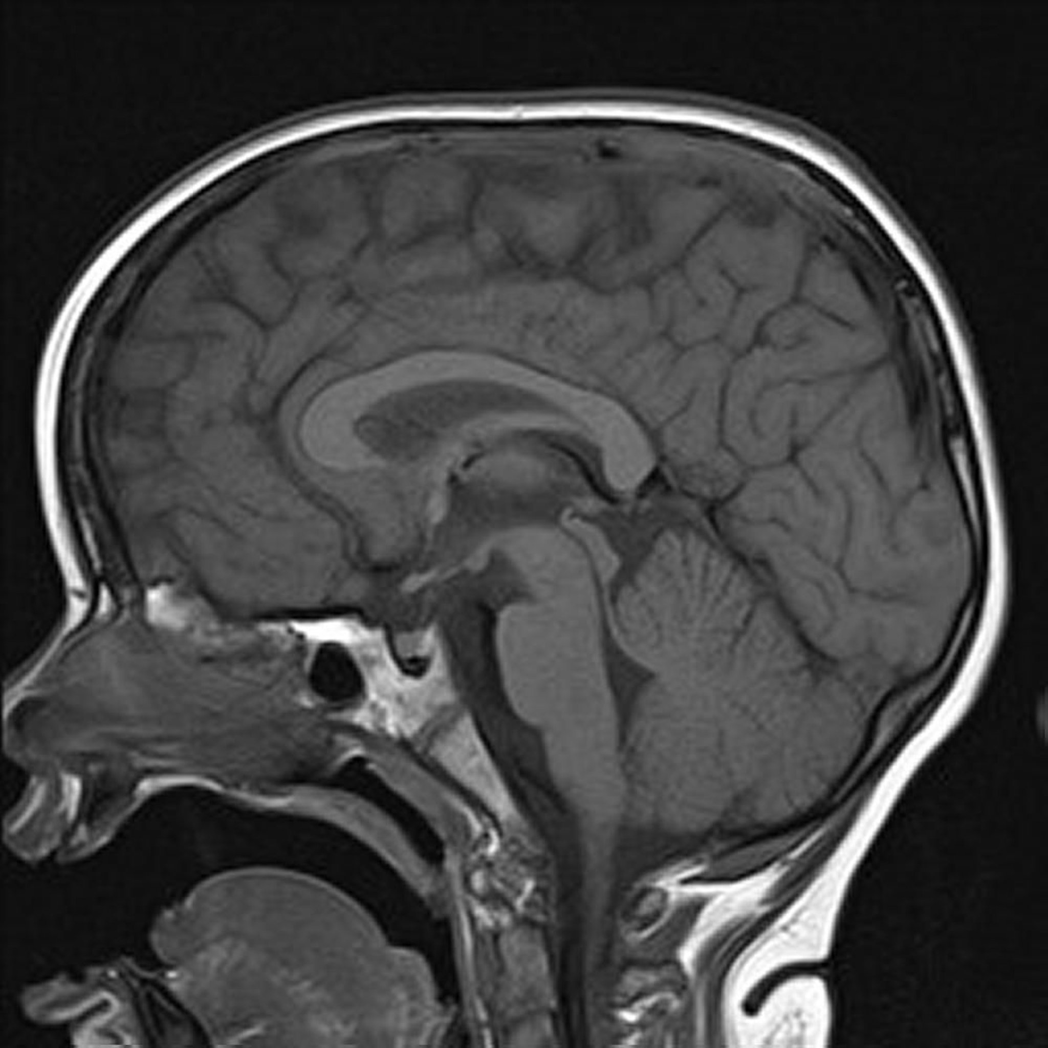
MRI theo trọng số T1
Hình ảnh não theo trọng số T1 đứng dọc cho thấy cấu trúc đường giữa bình thường.
Hình ảnh do bác sĩ Hakan Ilaslan cung cấp.
Trong các chủ đề này
Hình ảnh não theo trọng số T1 đứng dọc cho thấy cấu trúc đường giữa bình thường.
Hình ảnh do bác sĩ Hakan Ilaslan cung cấp.