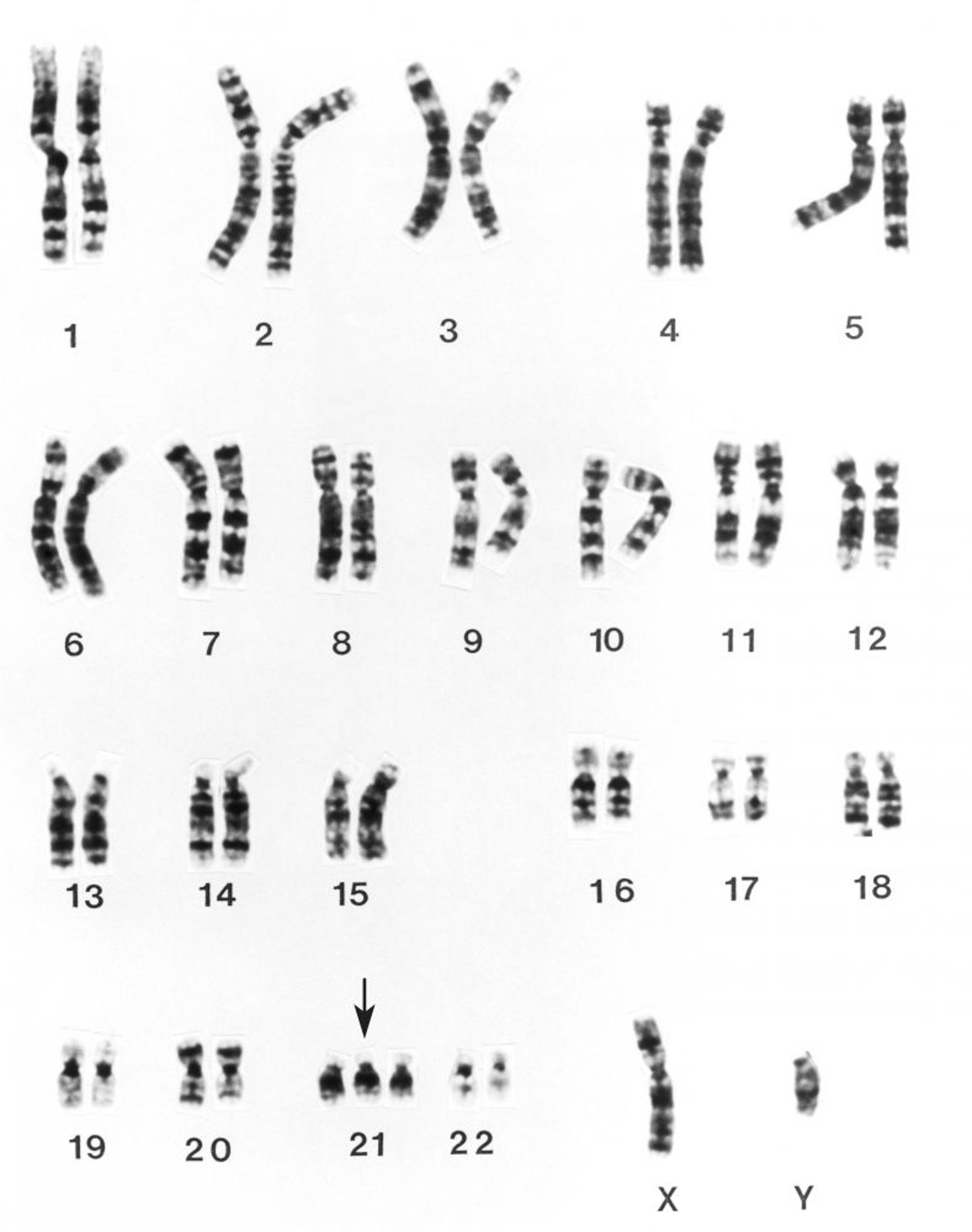
Hội chứng Down Karyotype
Đặc trưng của Hội chứng Down là có thêm 1 nhiễm sắc thể thứ 21 (xem mũi tên).
L. WILLATT, EAST ANGLIAN REGIONAL GENETICS SERVICE/THƯ VIỆN HÌNH ẢNH KHOA HỌC
Trong các chủ đề này
Đặc trưng của Hội chứng Down là có thêm 1 nhiễm sắc thể thứ 21 (xem mũi tên).
L. WILLATT, EAST ANGLIAN REGIONAL GENETICS SERVICE/THƯ VIỆN HÌNH ẢNH KHOA HỌC