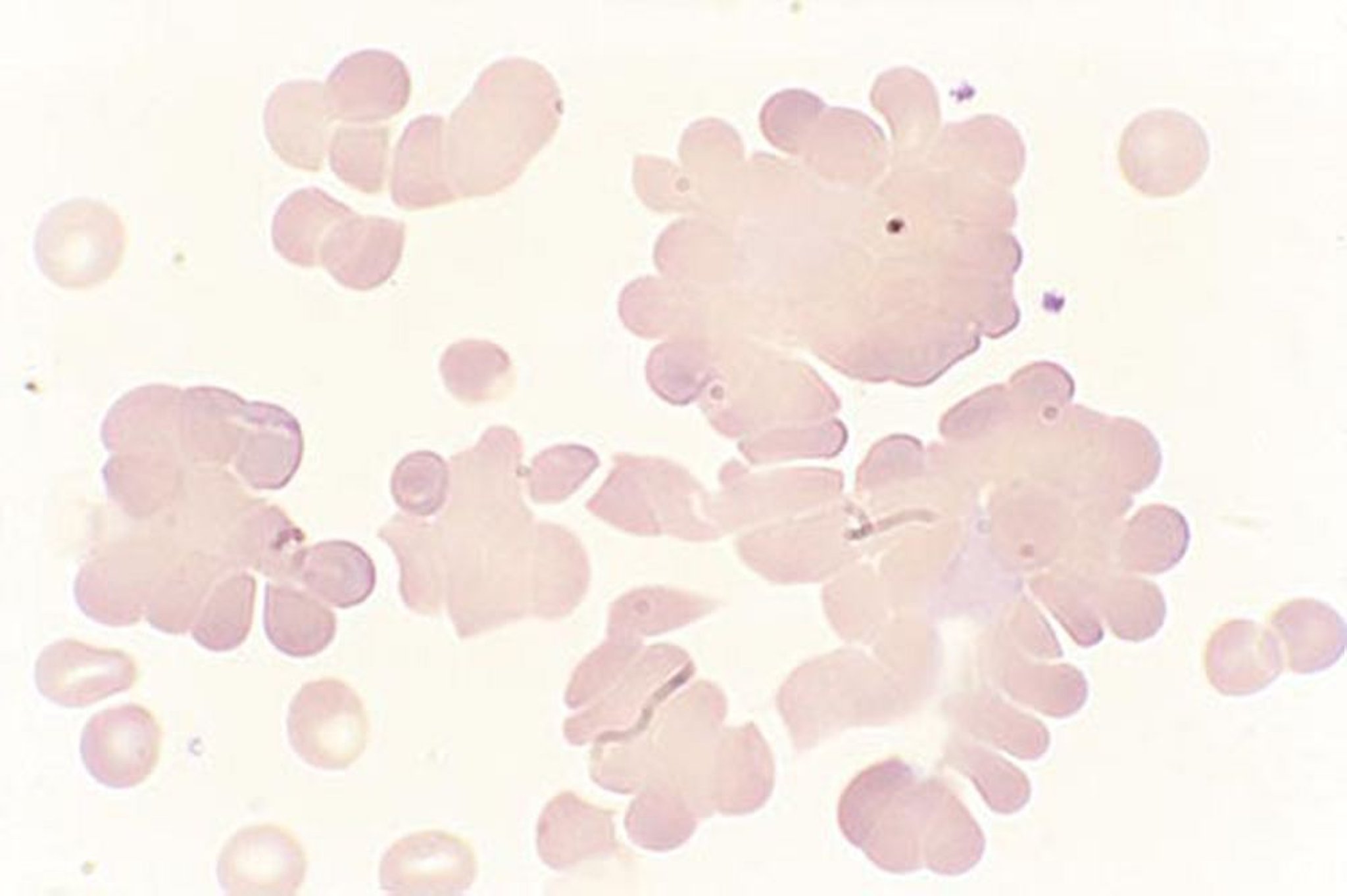
Hồng cầu vón cục trong bệnh ngưng kết hồng cầu do lạnh
Được sự cho phép của nhà xuất bản. Từ Tefferi A, Li C. Trong Tập ảnh về Huyết học lâm sàng. Biên tập bởi JO Armitage. Philadelphia, Current Medicine năm 2004.
Trong các chủ đề này
Được sự cho phép của nhà xuất bản. Từ Tefferi A, Li C. Trong Tập ảnh về Huyết học lâm sàng. Biên tập bởi JO Armitage. Philadelphia, Current Medicine năm 2004.