Gai gót chân
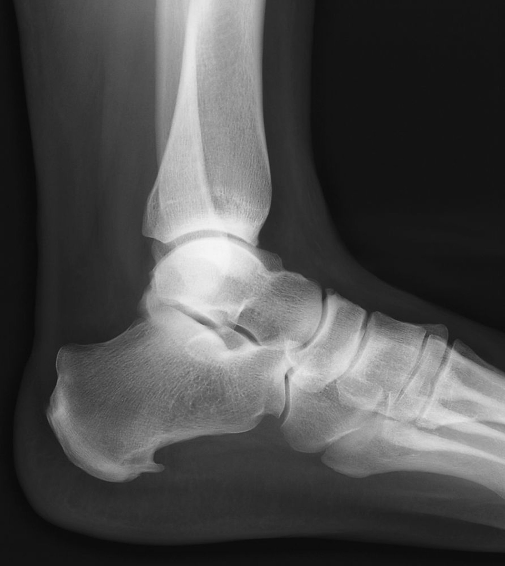
Gai gót chân là lồi xương kéo dài về phía trước ở phần dưới cùng của xương gót.
ZEPHYR/THƯ VIỆN HÌNH ẢNH KHOA HỌC
Trong các chủ đề này
Gai gót chân là lồi xương kéo dài về phía trước ở phần dưới cùng của xương gót.
ZEPHYR/THƯ VIỆN HÌNH ẢNH KHOA HỌC