Gãy mỏm khuỷu
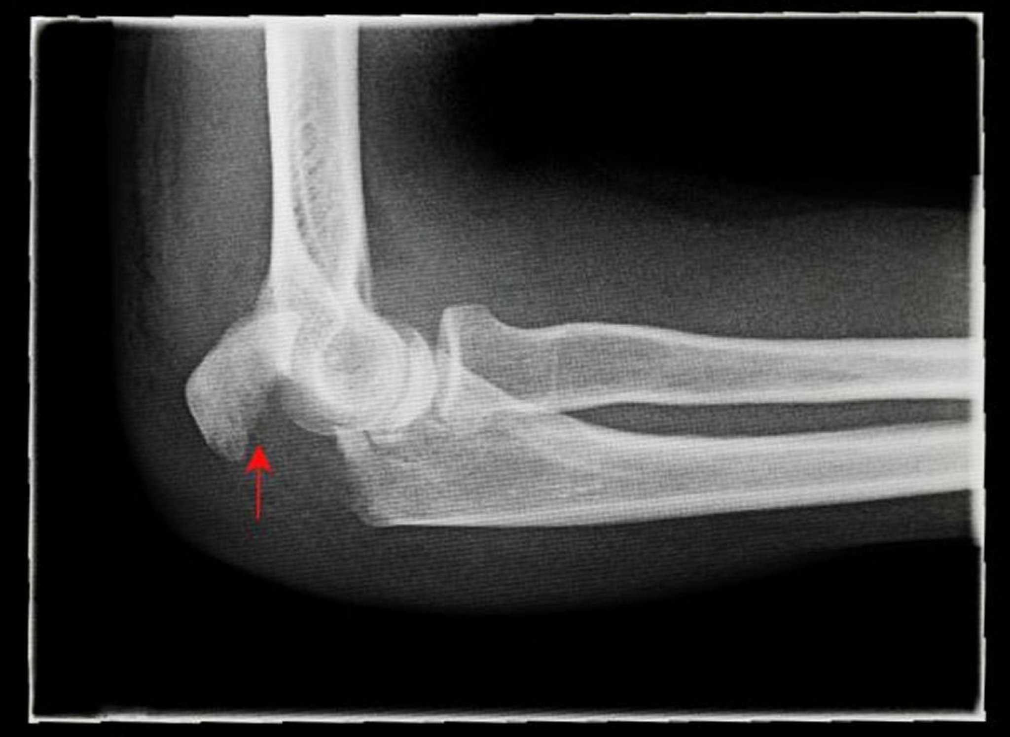
Phim chụp X-quang bên này cho thấy một vết nứt ở mỏm khuỷu bị di lệch (mũi tên).
Hạn mức tín dụng: ANTONIA REEVE/THƯ VIỆN HÌNH ẢNH KHOA HỌC
Trong các chủ đề này
Phim chụp X-quang bên này cho thấy một vết nứt ở mỏm khuỷu bị di lệch (mũi tên).
Hạn mức tín dụng: ANTONIA REEVE/THƯ VIỆN HÌNH ẢNH KHOA HỌC