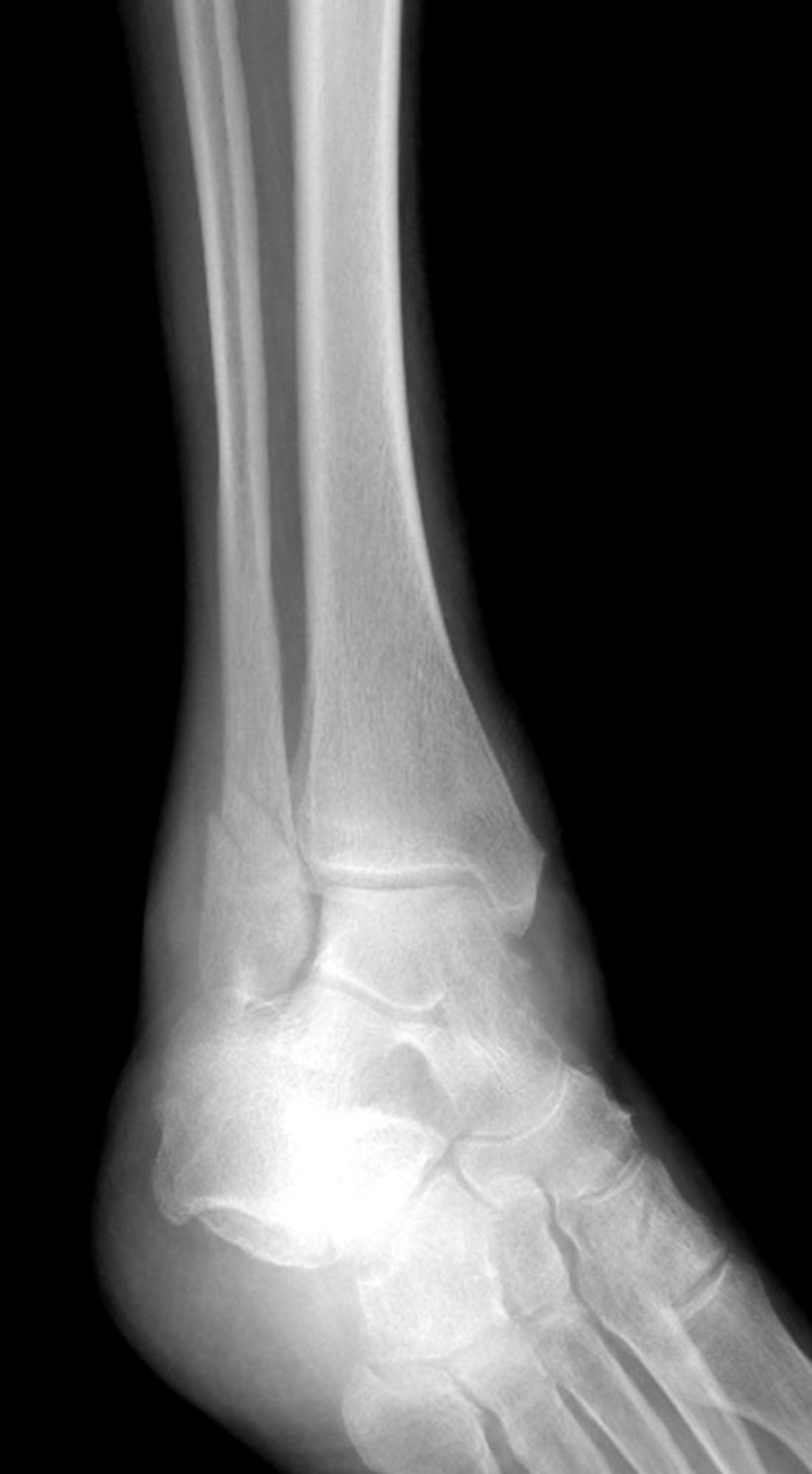
Gãy mắt cá ngoài
Vết gãy xương cổ chân này gây tổn thương mắt cá ngoài nhưng không ảnh hưởng đến mắt cá trong.
LIVING ART ENTERPRISES, LLC/THƯ VIỆN HÌNH ẢNH KHOA HỌC
Trong các chủ đề này
Vết gãy xương cổ chân này gây tổn thương mắt cá ngoài nhưng không ảnh hưởng đến mắt cá trong.
LIVING ART ENTERPRISES, LLC/THƯ VIỆN HÌNH ẢNH KHOA HỌC