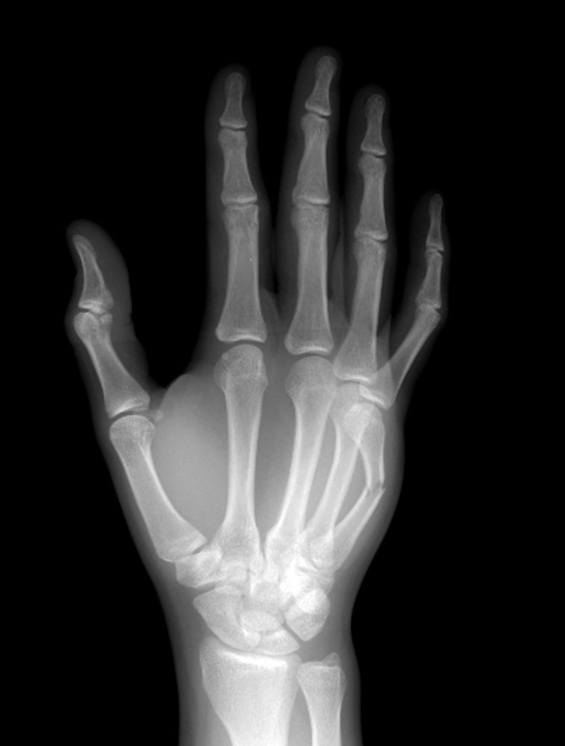
Gãy cổ xương bàn tay

Gãy cổ xương bàn tay

Xương cổ xương bàn tay thứ 5 bị gãy giữa thân.

LIVING ART ENTERPRISES, LLC/THƯ VIỆN HÌNH ẢNH KHOA HỌC

Trong các chủ đề này