CT lồng ngực cho thấy giải phẫu của động mạch chủ và động mạch phổi
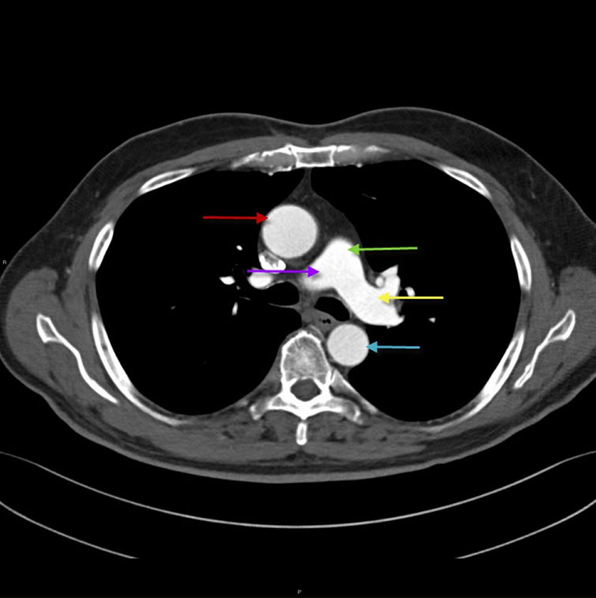
Hình ảnh này cho thấy động mạch chủ ngực lên (mũi tên màu đỏ) với động mạch chủ ngực xuống (mũi tên màu xanh lam). Động mạch phổi chính (mũi tên màu xanh lá cây) chia thành động mạch phổi phải (mũi tên màu tím) và trái (mũi tên màu vàng).
© 2017 Bác sĩ Elliot K. Fishman.
Trong các chủ đề này
