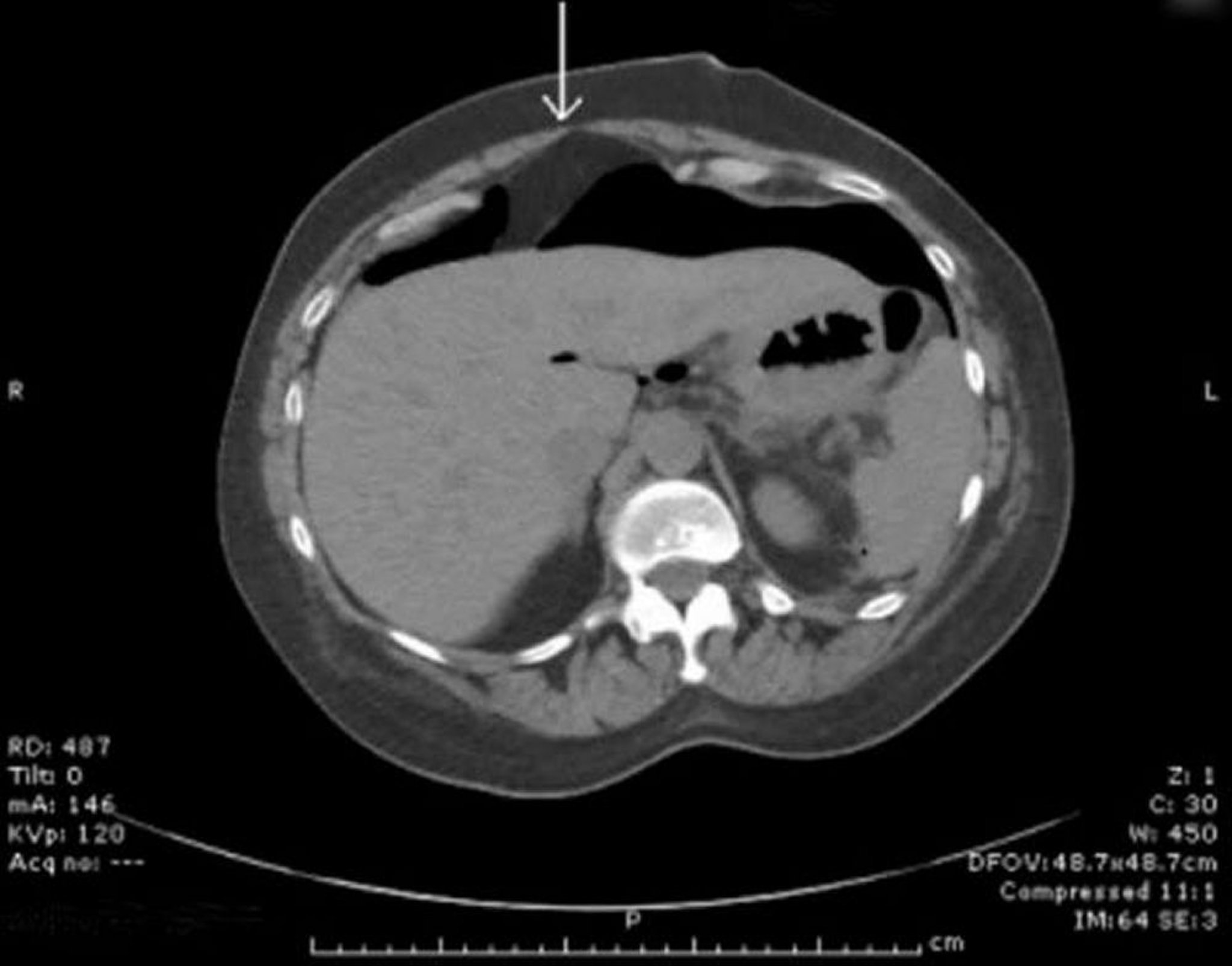
CT có khí tự do trong phúc mạc
Khí tự do được nhìn thấy trước gan. Mũi tên chỉ vào dây chằng liềm.
Hình ảnh do bác sĩ Parswa Ansari cung cấp
Trong các chủ đề này
Khí tự do được nhìn thấy trước gan. Mũi tên chỉ vào dây chằng liềm.
Hình ảnh do bác sĩ Parswa Ansari cung cấp