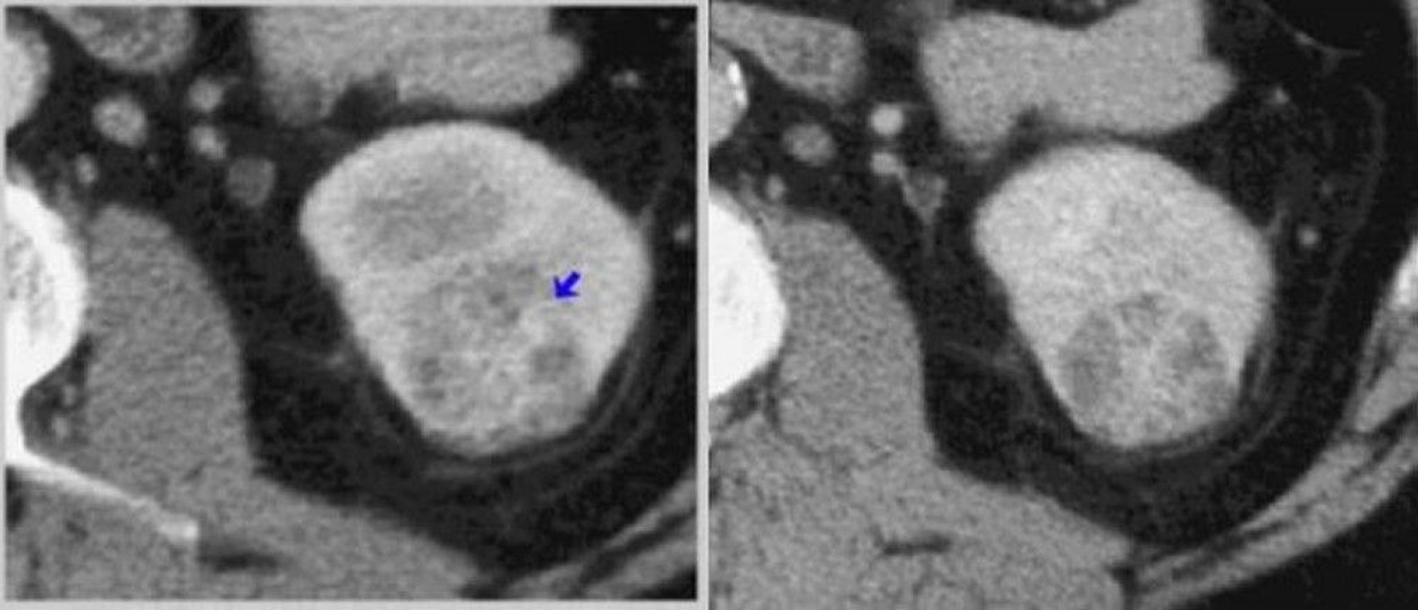
Chụp CT thận có thuốc cản quang (pha tủy vỏ và pha sinh thận)
Ở bên trái, chụp CT pha vỏ não cho thấy một khối u ngấm thuốc không đồng nhất (mũi tên). Ở bên phải, chụp CT pha thận xác định khối u rõ hơn.
© Springer Science+Business Media
Trong các chủ đề này
