Chụp thực quản có thuốc cản quang hòa tan trong nước

Chụp thực quản có thuốc cản quang hòa tan trong nước

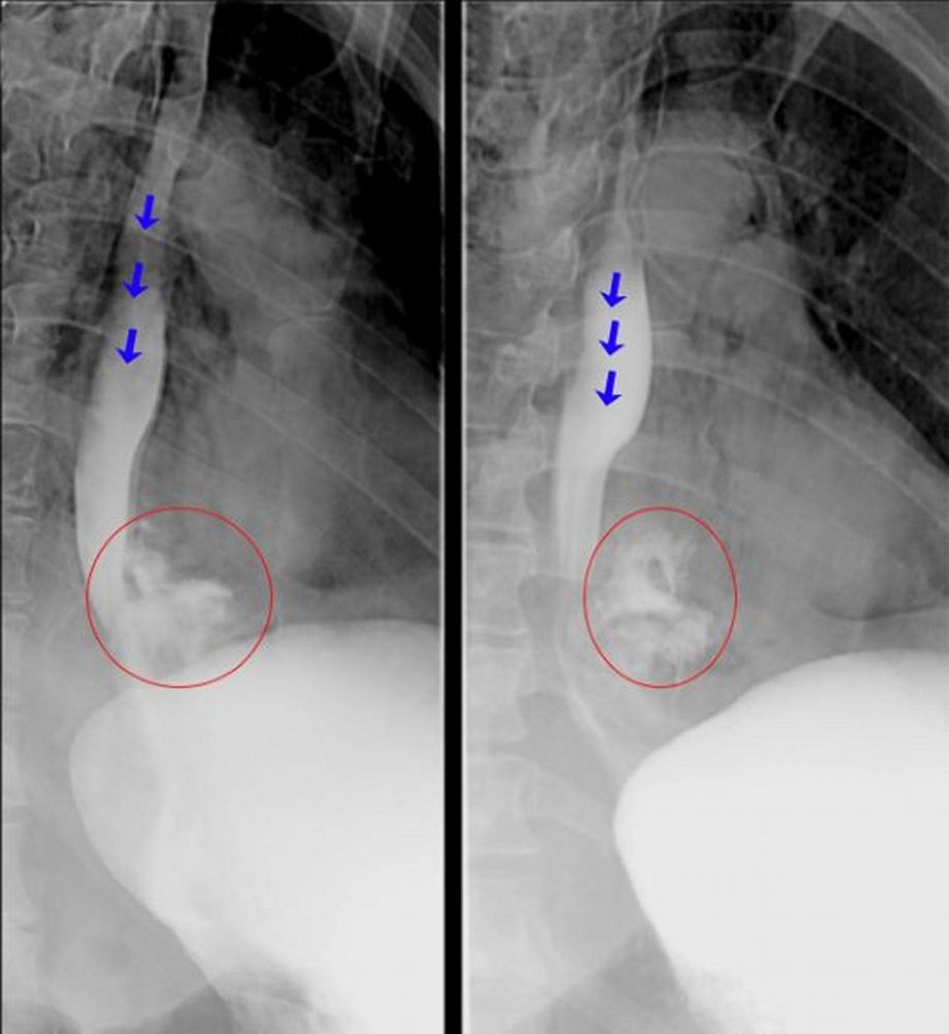
Những hình ảnh chụp thực quản có soi huỳnh quang này cho thấy thuốc cản quang thoát ra rõ ràng từ thực quản đoạn xa phù hợp với thủng thực quản. Mũi tên màu xanh làm nổi bật chất cản quang trong lòng thực quản. Các vòng tròn màu đỏ làm nổi bật chất cản quang đã thoát ra khỏi thực quản.

© Springer Science+Business Media

Trong các chủ đề này