Chụp SPECT trong đau thắt ngực mới khởi phát
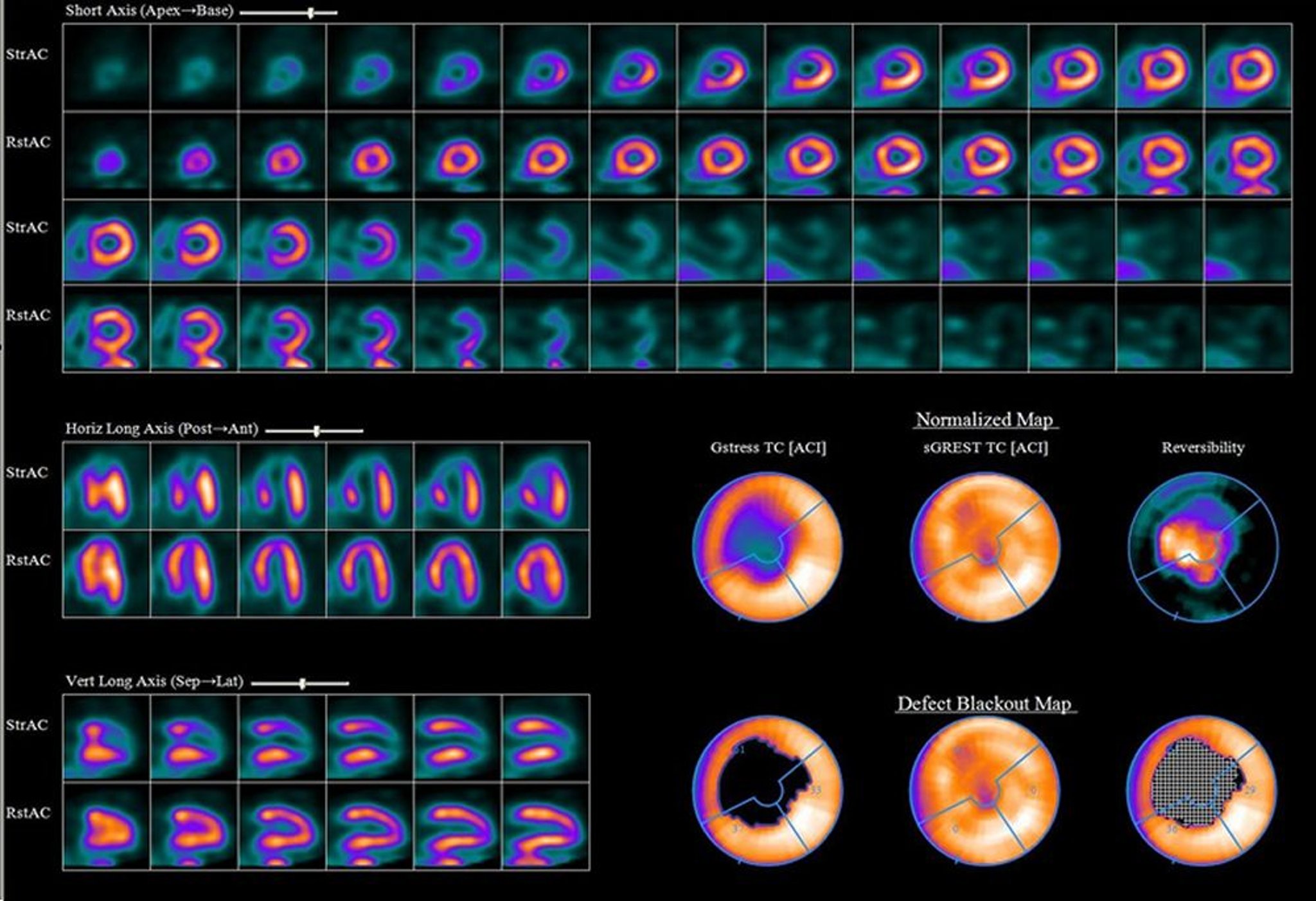
Hình ảnh khi gắng sức và nghỉ ngơi từ chụp cắt lớp phát xạ đơn photon (SPECT) của một người đàn ông 52 tuổi bị đau thắt ngực mới khởi phát. Hình ảnh thu được trong khi gắng sức (các hàng hình ảnh hoặc bản đồ cực được ký hiệu là Str hoặc Stress) cho thấy một vùng thiếu máu cục bộ lớn trong vùng được nuôi dưỡng bởi động mạch xuống trước bên trái (LAD) không có ở trạng thái nghỉ (các hàng hình ảnh hoặc bản đồ cực được ký hiệu là Rst hoặc Rest). Chụp động mạch vành xác nhân hẹp 95 đến 99% tại chỗ chia ra nhánh chéo đầu tiên của LAD. Hình ảnh khi gắng sức cho thấy mức độ hấp thụ ít hơn (màu tím hoặc mờ hơn) so với vùng sáng ở trạng thái nghỉ.
Hình ảnh do bác sĩ James R. Corbett cung cấp
Trong các chủ đề này
