Chụp CT đầu
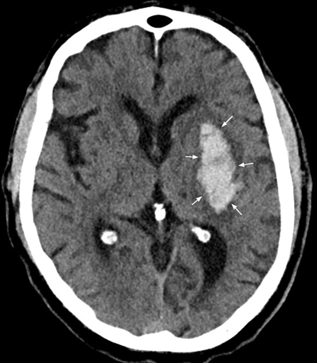
CT cho thấy xuất huyết cấp tính ở hạch nền bên trái phù hợp với xuất huyết nội sọ do tăng huyết áp.
Hình ảnh do bác sĩ Mustafa Mafraji cung cấp.
Trong các chủ đề này
CT cho thấy xuất huyết cấp tính ở hạch nền bên trái phù hợp với xuất huyết nội sọ do tăng huyết áp.
Hình ảnh do bác sĩ Mustafa Mafraji cung cấp.