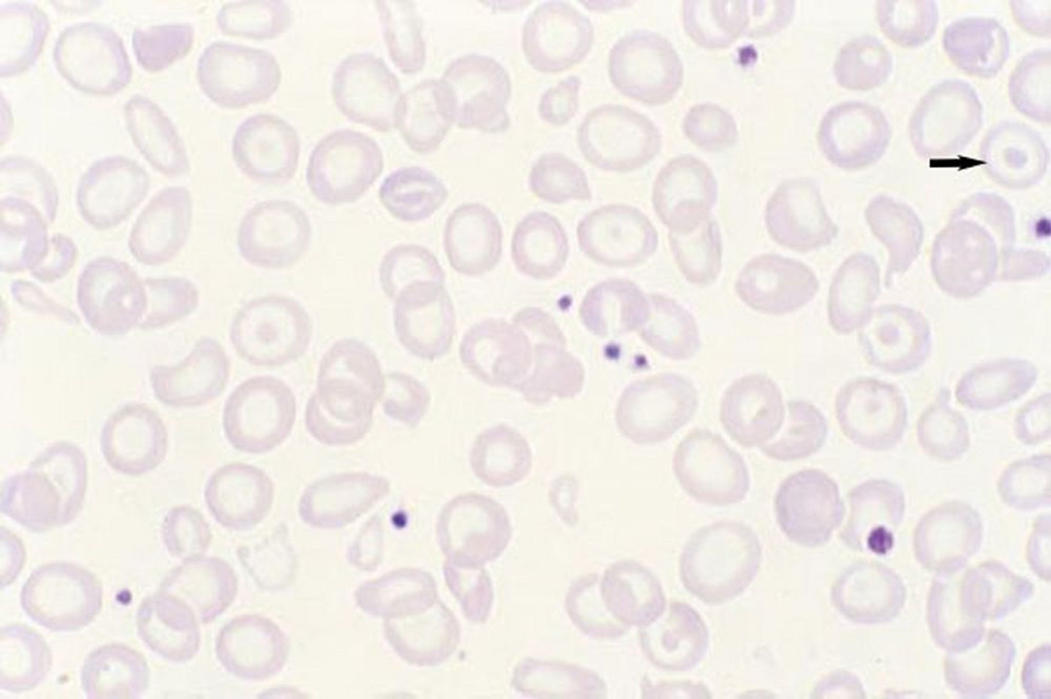
Các tế bào hình bia bắn
Tế bào đích (hồng cầu mỏng với một chấm hemoglobin ở trung tâm; mũi tên) là do sự mất cân bằng giữa thể tích hồng cầu và hàm lượng hemoglobin của nó và đặc trưng cho bệnh thalassemia, các bệnh hemoglobin khác (ví dụ, bệnh hemoglobin C và bệnh hemoglobin S-C) nhưng cũng có thể xảy ra sau khi cắt lách và trong bệnh gan.
Được sự cho phép của nhà xuất bản. Từ Tefferi A, Li C. Trong Tập ảnh về Huyết học lâm sàng. Biên tập bởi JO Armitage. Philadelphia, Current Medicine năm 2004.
Trong các chủ đề này
