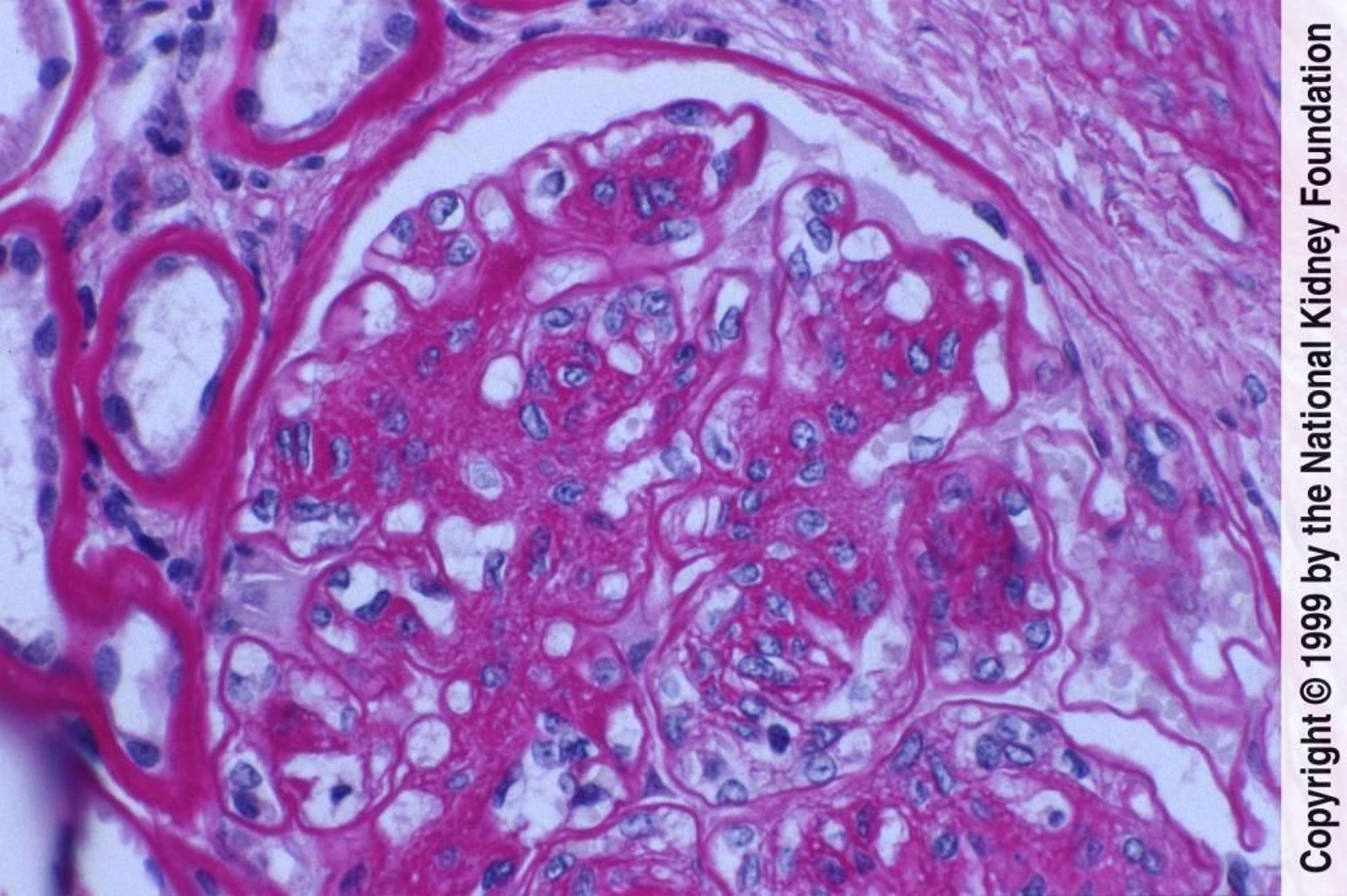
Bệnh thận do tiểu đường (tăng sinh tế bào gian mạch và mở rộng chất nền)
Tăng sinh tế bào gian mạch và mở rộng chất nền kèm theo tổn thương nội mô biểu hiện ở đây là màng đáy cầu thận dày lên mà không có lắng đọng phức hợp miễn dịch rõ ràng (nhuộm axit-Schiff định kỳ, ×400).
Hình ảnh do bác sĩ Agnes Fogo và American Journal of Kidney Diseases' Atlas of Renal Pathology cung cấp (xem www.ajkd.org).
Trong các chủ đề này
