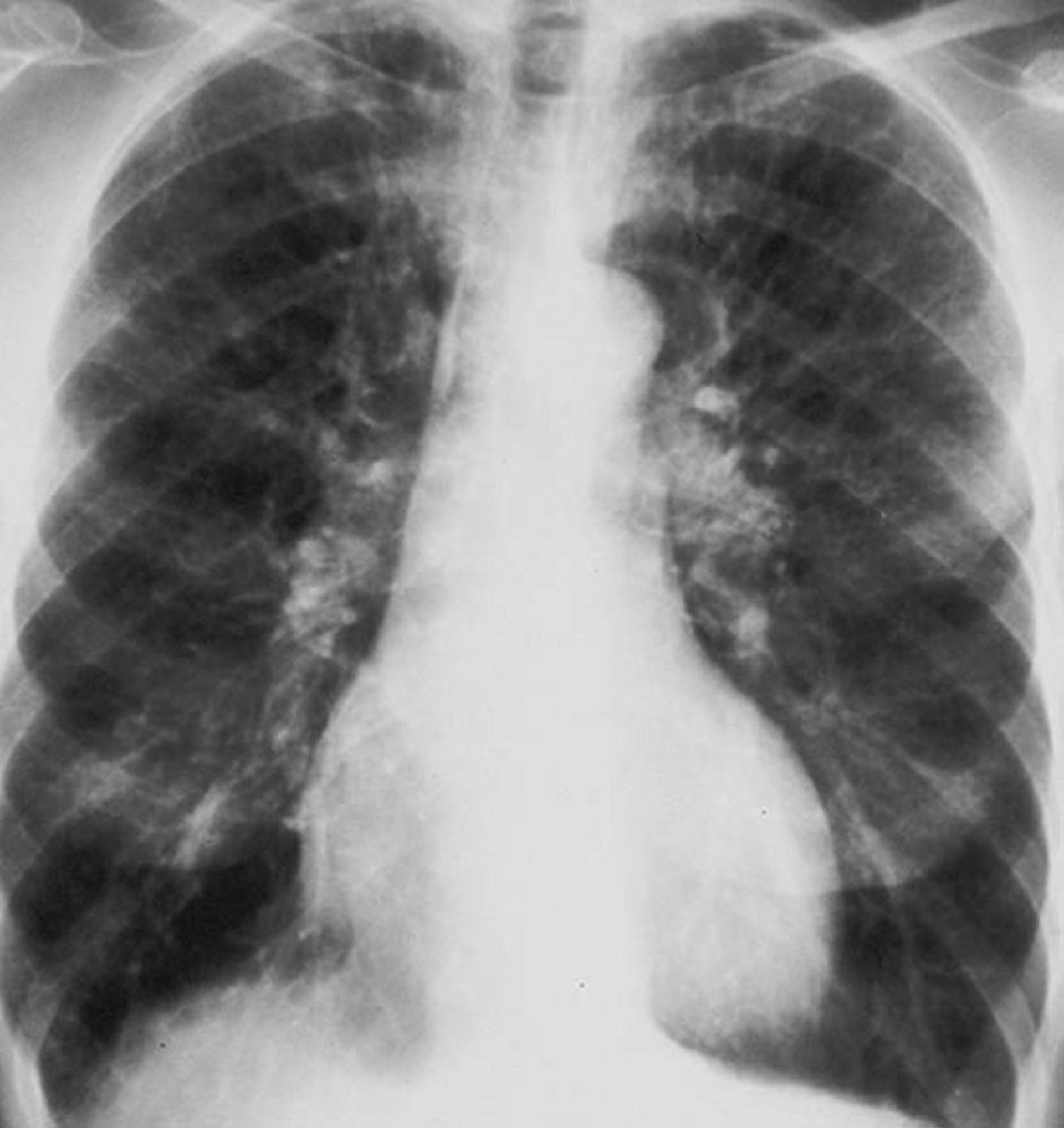
Bệnh phổi tắc nghẽn mạn tính (phim X-quang phổi)
Phim X-quang phổi của bệnh nhân mắc bệnh phổi tắc nghẽn mạn tính (COPD). Phổi bị căng phồng, cơ hoành bị xẹp, các dấu hiệu mạch máu tăng lên và kích thước tim tăng nhẹ.
Được sự cho phép của nhà xuất bản. Theo Barnes P. Trong Bone's Atlas of Pulmonary and Critical Care Medicine. Biên tập bởi J Crapo. Philadelphia, Current Medicine, 2005.
Trong các chủ đề này
