Bệnh phổi kẽ (chụp CT ngực)
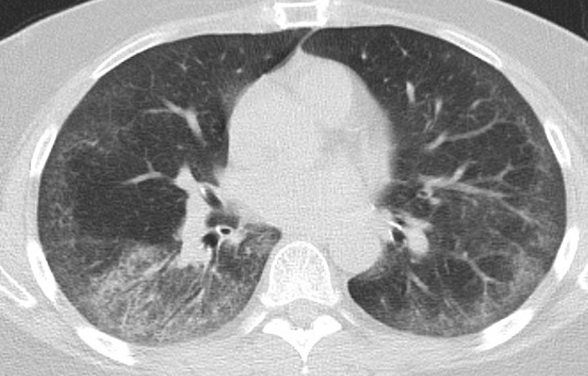
Chụp CT cho thấy hình ảnh mờ kính đối xứng, hai bên thùy dưới với các vùng lưới dưới màng phổi mịn; giãn phế quản nhẹ ở cả hai phổi với vùng dưới màng phổi không bị ảnh hưởng; và một vài hạch bạch huyết ngực nằm rải rác.
Hình ảnh do bác sĩ Kinanah Yaseen cung cấp
Trong các chủ đề này
