Bệnh xơ cứng thận tăng huyết áp động mạch nhỏ lành tính
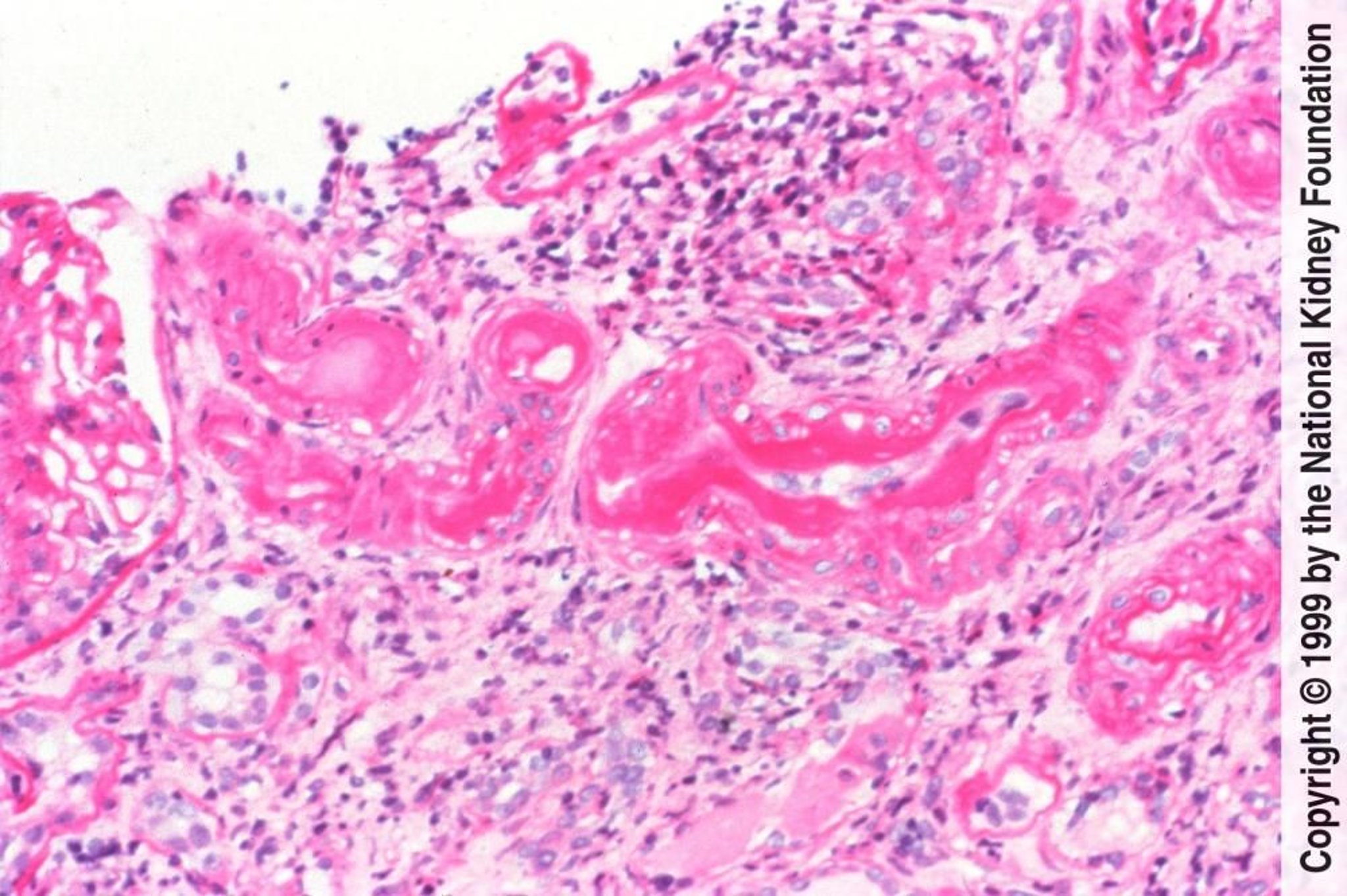
Xơ vữa động mạch thận lành tính do tăng huyết áp được đặc trưng về mặt mô học bởi tình trạng hyalin hóa động mạch do sự lắng đọng protein huyết tương và tình trạng dày lên của lớp trung gian do cả phì đại và tăng sản của các tế bào cơ trơn mạch máu (nhuộm axit tuần hoàn-Schiff, × 200).
Hình ảnh do bác sĩ Agnes Fogo và American Journal of Kidney Diseases' Atlas of Renal Pathology cung cấp (xem www.ajkd.org).
Trong các chủ đề này
