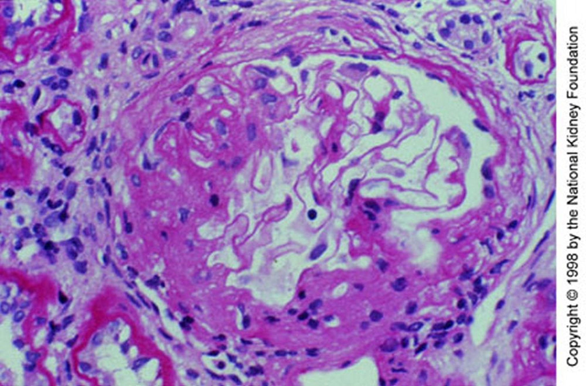
Bệnh thận do IgA (mở rộng gian mạch)
Tăng sinh gian mạch với xơ cứng từng phần (nhuộm axit-Schiff định kỳ, ×200).
Hình ảnh do bác sĩ Agnes Fogo và American Journal of Kidney Diseases' Atlas of Renal Pathology cung cấp (xem www.ajkd.org).
Trong các chủ đề này
