Bệnh túi thừa (chụp CT)
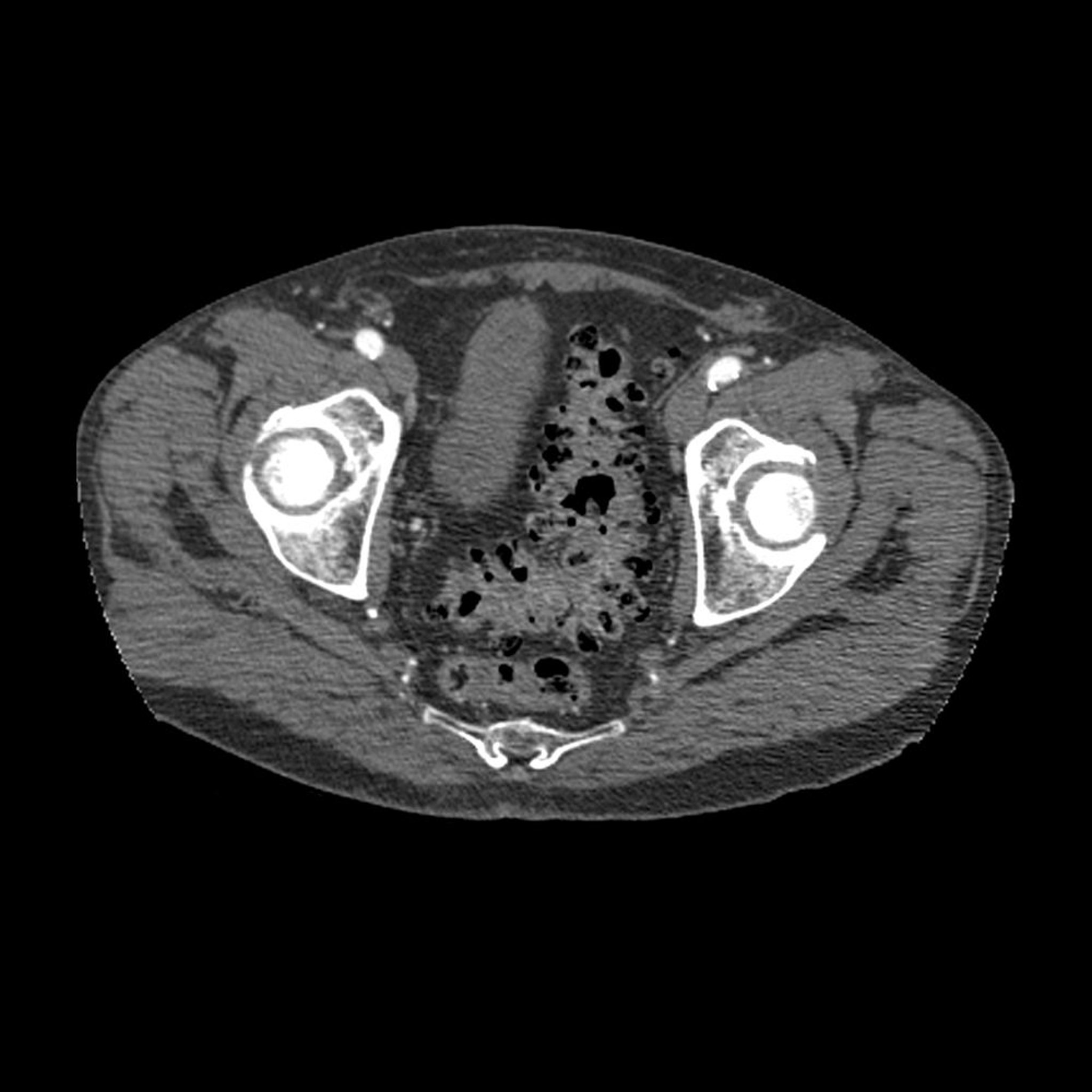
Hình ảnh CT mặt phẳng cắt ngang theo trục qua khung chậu cho thấy dấu hiệu điển hình của bệnh túi thừa (vùng tối trên thành đại tràng sigma).
LIVING ART ENTERPRISES, LLC/THƯ VIỆN HÌNH ẢNH KHOA HỌC
Trong các chủ đề này
Hình ảnh CT mặt phẳng cắt ngang theo trục qua khung chậu cho thấy dấu hiệu điển hình của bệnh túi thừa (vùng tối trên thành đại tràng sigma).
LIVING ART ENTERPRISES, LLC/THƯ VIỆN HÌNH ẢNH KHOA HỌC