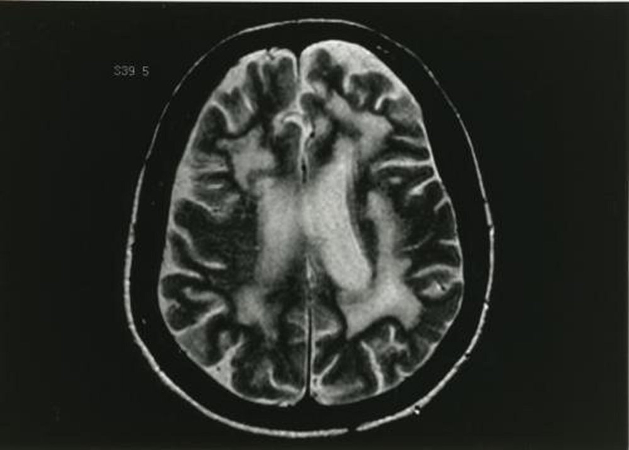
Bệnh não chất trắng đa ổ tiến triển
Hình ảnh MRI trên xung T2 điều chỉnh cho thấy nhiều thay đổi trong chất trắng.
Hình ảnh do bác sĩ John E. Greenlee cung cấp.
Trong các chủ đề này
Hình ảnh MRI trên xung T2 điều chỉnh cho thấy nhiều thay đổi trong chất trắng.
Hình ảnh do bác sĩ John E. Greenlee cung cấp.