Đột quỵ do thiếu máu não cục bộ ở động mạch não giữa bên trái (CT)
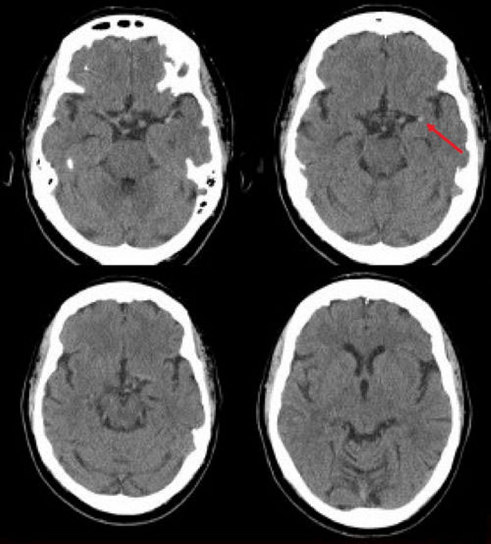
Chụp CT sọ não không tiêm thuốc này cho thấy một động mạch não giữa tăng áp. Phát hiện này cho thấy một cục máu đông trong động mạch não trái (mũi tên).
Hình ảnh do bác sĩ Ji Y. Chong, MD cung cấp.
Trong các chủ đề này
