Thoát vị hoành

TheoJaime Belkind-Gerson, MD, MSc, University of Colorado
Xem xét bởiAlicia R. Pekarsky, MD, State University of New York Upstate Medical University, Upstate Golisano Children's Hospital
Đã xem xét/Đã chỉnh sửa đã sửa đổi Thg 8 2025
v8355609_vi

Triệu chứng thoát vị hoành là sự xuất hiện tác tạng của các bụng vào ngực thông qua một khiếm khuyết trong cơ hoành. Thiểu sản phổi có thể gây tăng áp động mạch phổi. Chẩn đoán bằng siêu âm thai nhi, chụp X-quang ngực hoặc các phương pháp chẩn đoán hình ảnh tiên tiến khác. Phương pháp điều trị là phẫu thuật phục hồi và điều trị lâu dài.

(Xem thêm Tổng quan về dị tật tiêu hóa bẩm sinh.)

Thoát vị cơ hoành, còn gọi là thoát vị cơ hoành bẩm sinh, xảy ra ở phần sau bên của cơ hoành (thoát vị Bochdalek) trong 95% số trường hợp và ở bên trái trong 85% số trường hợp; ở 2% số trường hợp là ở cả hai bên (1). Tỷ lệ hiện mắc khi sinh ước tính là khoảng 1 trên 4000 ca sinh sống (2). Thoát vị trước (thoát vị Morgagni) ít gặp hơn (5% trường hợp). Các dị tật bẩm sinh khác, đặc biệt là bệnh tim bẩm sinh, có biểu hiện ở khoảng 50% số trường hợp (3).

Các quai ruột, dạ dày, gan và lá lách có thể thoát vị vào lồng ngực bên liên quan. Nếu lỗ thoát vị là lớn và khối lượng các tạng trong ổ bụng thoát vị rất lớn, phổi ở vùng bị khối thoát vị tác động sẽ giảm sản, giảm phát triển; tuy nhiên, phổi ở phía đối diện cũng có thể bị ảnh hưởng xấu. Các hậu quả hệ hô hấp khác bao gồm sự kém phát triển của mạch máu phổi, dẫn đến sự gia tăng kháng mạch máu phổi và do đó tăng áp phổi. Tăng áp động mạch phổi có thể dẫn đến sự phân luồng từ phải sang trái ở mức lỗ bầu dục hoặc qua ống động mạch còn hở; cả thiểu sản phổi và tăng áp động mạch phổi đều ngăn cản quá trình oxy hóa đầy đủ, ngay cả khi có bổ sung oxy hoặc thở máy. Ngoài ra, những thay đổi về khả năng co bóp cơ tim làm tăng thêm mức độ phức tạp của việc xử trí và góp phần vào tỷ lệ tử vong và bệnh tật (4).

Tài liệu tham khảo chung

  1. 1. Deprest JA, Nicolaides KH, Benachi A, et al. Randomized Trial of Fetal Surgery for Severe Left Diaphragmatic Hernia. N Engl J Med. 2021;385(2):107-118. doi:10.1056/NEJMoa2027030

  2. 2. Paoletti M, Raffler G, Gaffi MS, Antounians L, Lauriti G, Zani A. Prevalence and risk factors for congenital diaphragmatic hernia: A global view. J Pediatr Surg. 2020;55(11):2297-2307. doi:10.1016/j.jpedsurg.2020.06.022

  3. 3. Longoni M, Pober BR, High FA. Congenital Diaphragmatic Hernia Overview. Ngày 1 tháng 2 năm 2006 [Cập nhật ngày 5 tháng 11 năm 2020]. In: Adam MP, Feldman J, Mirzaa GM, et al., editors. GeneReviews® [Internet]. Seattle (WA): University of Washington, Seattle; 1993-2025.

  4. 4. Zani A, Chung WK, Deprest J, et al. Congenital diaphragmatic hernia. Nat Rev Dis Primers. 2022;8(1):37. Xuất bản ngày 1 tháng 6 năm 2022. doi:10.1038/s41572-022-00362-w

Các triệu chứng và dấu hiệu của thoát vị cơ hoành

Suy hô hấp thường xảy ra trong vài giờ đầu sau khi sinh và xảy ra ngay sau khi sinh trong những trường hợp nặng. Sau khi sinh, khi trẻ sơ sinh khóc và nuốt không khí, dạ dày và ruột nhanh chóng đầy không khí và nhanh chóng mở rộng ra, gây suy giảm chức năng hô hấp cấp do cấu trúc tim và cơ hoành được đẩy về phía phải (hay gặp thoát vị bên trái), ép phổi phải nhiều hơn. Có thể là dấu hiệu bụng lõm lòng thuyền (do di chuyển nội tạng bụng vào ngực). Các âm thanh ruột (Không có âm thanh của nhịp thở) có thể được nghe thấy bên phổi liên quan.

Trong những trường hợp ít nghiêm trọng, khó thở nhẹ sẽ phát triển vài giờ hoặc nhiều ngày sau đó vì các tạng ở ổ bụng sẽ thoát ra qua một khuyết cơ hoành nhỏ hơn.

Hiếm khi các triệu chứng được biểu hiện muộn sau đó ở trẻ em, đôi khi sau một cơn viêm ruột, nhiễm khuẩn, gây ra thoát vị đột ngột ruột vào ngực.

Chẩn đoán thoát vị cơ hoành

  • Đôi khi, bằng siêu âm trước sinh hoặc chụp MRI thai nhi

  • Chụp X-quang ngực, chụp CT ngực và đôi khi là chụp MRI

  • Siêu âm tim

Trong một số trường hợp, thoát vị cơ hoành có thể được chẩn đoán bằng siêu âm trước sinh (1), với phân tầng nguy cơ bổ sung có sẵn dựa trên chụp MRI thai nhi (2).

Trong phòng sinh, có thể nghi ngờ thoát vị cơ hoành khi trẻ sơ sinh bị suy hô hấp có bụng hình thuyền.

Sau khi sinh, đưa ra chẩn đoán bằng phim chụp X-quang ngực cho thấy dạ dày và ruột lồi vào ngực. Trong một khiếm khuyết lớn, có rất nhiều không khí chứa đầy trong các quai ruột làm đầy lồng ngực cùng bên và chuyển vị cấu trúc tim và trung thất sang bên đối diện. Nếu chụp X-quang ngay sau khi sinh, trước khi trẻ sơ sinh nuốt không khí, các bộ phận trong bụng sẽ xuất hiện như một khối u mờ đục không có không khí ở nửa lồng ngực.

Chụp cắt lớp bao gồm chụp CT và chụp MRI được sử dụng để đánh giá vị trí khuyết tật, xác định các phần cụ thể trong lồng ngực, ước tính thể tích phổi, lập kế hoạch phẫu thuật và ở một số trẻ sơ sinh để đánh giá các khuyết tật bẩm sinh khác (3). Siêu âm tim được thực hiện để sàng lọc bệnh tim bẩm sinh liên quan, đặc biệt nếu cân nhắc đến phương pháp oxy hóa màng ngoài cơ thể.

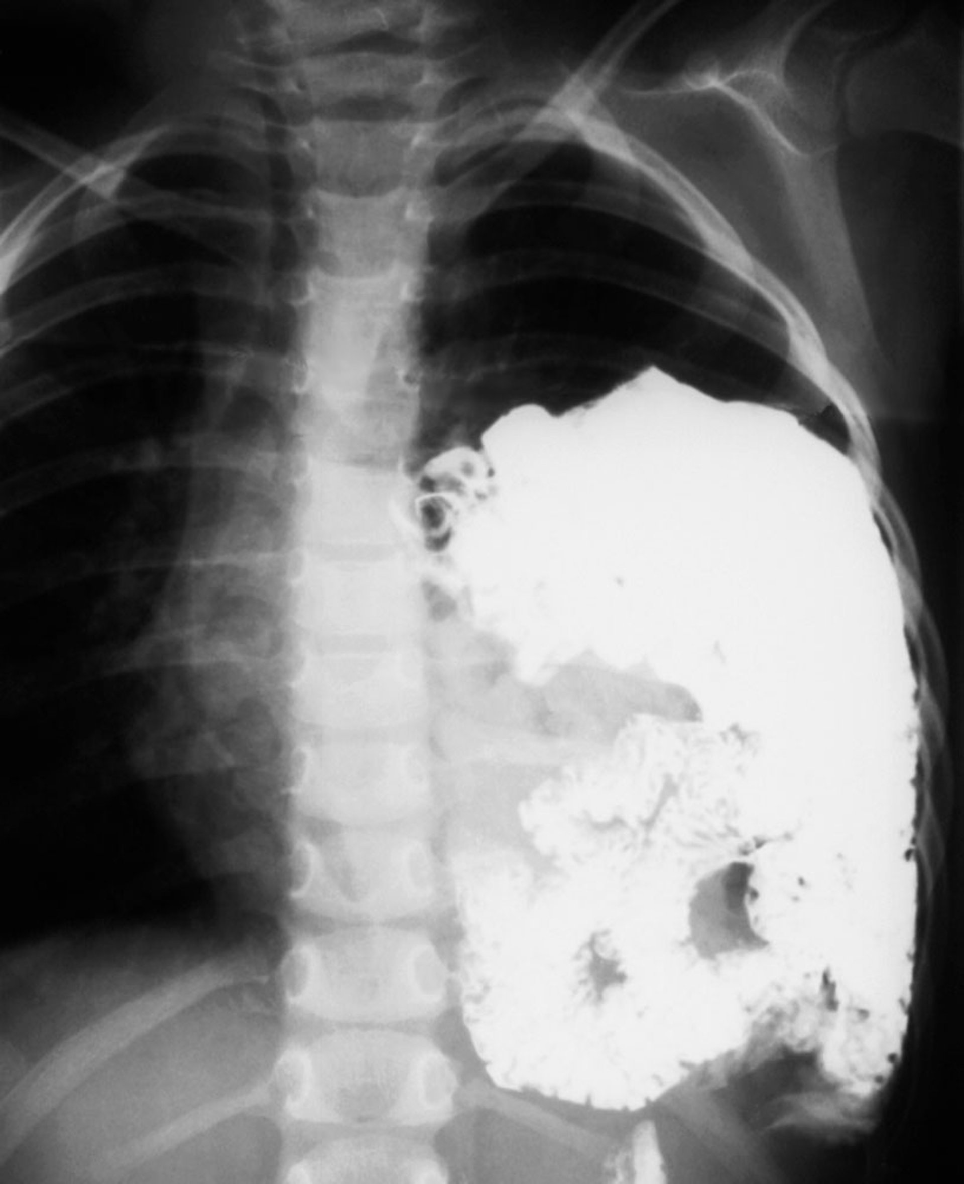
Thoát vị cơ hoành (1)
Dấu các chi tiết

Phim chụp X-quang này cho thấy tình trạng thoát vị cơ hoành bẩm sinh ở trẻ sơ sinh. Các quai ruột lồi vào ngực trái (bên phải ảnh chụp X-quang).

DU CANE MEDICAL IMAGING LTD/THƯ VIỆN HÌNH ẢNH KHOA HỌC

Tài liệu tham khảo về chẩn đoán

  1. 1. Cordier AG, Russo FM, Deprest J, et al. Prenatal diagnosis, imaging, and prognosis in congenital diaphragmatic hernia. Semin Perinatol. 2020;44(1):51163. doi:10.1053/j.semperi.2019.07.002

  2. 2. Zani A, Chung WK, Deprest J, et al. Congenital diaphragmatic hernia. Nat Rev Dis Primers. 2022;8(1):37. Xuất bản ngày 1 tháng 6 năm 2022. doi:10.1038/s41572-022-00362-w

  3. 3. Expert Panel on Gastrointestinal Imaging, Garcia EM, Pietryga JA, et al. ACR Appropriateness Criteria® Hernia. J Am Coll Radiol. 2022;19(11S):S329-S340. doi:10.1016/j.jacr.2022.09.016

Điều trị thoát vị cơ hoành

  • Đôi khi phẫu thuật thai nhi

  • Lập kế hoạch cung cấp đa ngành và hồi sức tích cực

  • Đôi khi oxy hóa màng ngoài cơ thể (ECMO)

  • Sửa chữa bằng phẫu thuật

Nếu thai nhi có chẩn đoán thoát vị cơ hoành, nên sinh con tại trung tâm nhi khoa có khả năng sử dụng ECMO vì những thách thức vốn có trong quá trình vận chuyển. Có thể thực hiện việc bít trong lòng khí quản bằng nội soi thai nhi (FETO) ở một số thai nhi trước khi sinh (khoảng từ 27 tuần tuổi thai đến 34 tuần tuổi thai) để thúc đẩy sự phát triển của phổi; thủ thuật này có liên quan đến lợi ích về thời gian sống thêm trong những trường hợp nặng nhưng có những nguy cơ đáng kể (1).

Nếu nghi ngờ thoát vị cơ hoành ở trẻ sơ sinh bị suy hô hấp, trẻ sơ sinh phải được đặt nội khí quản ngay lập tức và thở máy trong phòng sinh. Cần tránh thông khí bằng túi và mask vì nó có thể lấp đầy lồng ngực bằng nội tạng chứa không khí và làm nặng thêm tình trạng hô hấp của trẻ. Hút sonde dạ dày liên tục với ống sonde hai nòng đề phòng nuốt không khí qua đường tiêu hóa và làm cho phổi tiếp tục bị đè nén.

Chăm sóc quan trọng trước phẫu thuật bao gồm đánh giá sớm và xử trí tăng áp động mạch phổi bằng oxit nitric hít và các loại thuốc khác (2, 3). Tình trạng axit-bazơ, huyết động, oxy hóa và thông khí của trẻ sơ sinh được tối ưu hóa. Suy thượng thận dẫn đến hạ huyết áp kháng catecholamine là phổ biến (4). Có thể sử dụng các chiến lược thông khí thông thường hoặc thay thế, chẳng hạn như thông khí dao động tần số cao. ECMO thường được sử dụng như một phương pháp tiếp cận có kế hoạch cho trẻ sơ sinh có nguy cơ cao bị thiểu sản phổi nặng hơn hoặc như một phương pháp cứu hộ cho trẻ sơ sinh bị thiếu oxy máu kháng trị hoặc suy tim hô hấp kết hợp.

Phẫu thuật là cần thiết để đưa các nội tạng trong ổ bụng vào ổ bụng và đóng lỗ hổng cơ hoành.

Xử trí dài hạn bao gồm việc chăm sóc liên tục và đa ngành cho những bệnh nhân bị tăng áp động mạch phổi, di chứng của thiểu sản phổi, trào ngược dạ dày thực quản hoặc các rối loạn chức năng đường tiêu hóa khác, suy tim hoặc các bất thường về phát triển thần kinh.

Ngọc trai & cạm bẫy

  • Tránh thông khí túi-mask cho trẻ sơ sinh bị suy hô hấp do thoát vị cơ hoành vì nó có thể làm tăng thêm thoát vị tạng trong bụng vào phổi.

Tài liệu tham khảo về điều trị

  1. 1. Zani A, Chung WK, Deprest J, et al. Congenital diaphragmatic hernia. Nat Rev Dis Primers. 2022;8(1):37. Xuất bản ngày 1 tháng 6 năm 2022. doi:10.1038/s41572-022-00362-w

  2. 2. Puligandla P, Skarsgard E, Baird R, et al. Diagnosis and management of congenital diaphragmatic hernia: a 2023 update from the Canadian Congenital Diaphragmatic Hernia Collaborative. Arch Dis Child Fetal Neonatal Ed. 2024;109(3):239-252. Xuất bản ngày 18 tháng 4 năm 2024. doi:10.1136/archdischild-2023-325865

  3. 3. Snoek KG, Reiss IK, Greenough A, et al. Standardized Postnatal Management of Infants with Congenital Diaphragmatic Hernia in Europe: The CDH EURO Consortium Consensus - 2015 Update. Neonatology. 2016;110(1):66-74. doi:10.1159/000444210

  4. 4. Kamath BD, Fashaw L, Kinsella JP. Adrenal insufficiency in newborns with congenital diaphragmatic hernia. J Pediatr. 2010;156(3):495-497.e1. doi:10.1016/j.jpeds.2009.10.044

Những điểm chính

  • Triệu chứng thoát vị hoành bẩm sinh gay ra bởi tình trạng các tạng ở bụng vào khoang ngực, đè nén phổi và gây suy hệ hô hấp.

  • Thiểu sản phổi và tăng áp động mạch phổi là tình trạng thường gặp.

  • Chẩn đoán bằng chẩn đoán hình ảnh trước sinh và chụp X-quang ngực sau sinh và chụp cắt lớp.

  • Điều trị bằng cách đặt nội khí quản sau đó là phẫu thuật phục hồi; thường cần phải có oxy hóa màng ngoài cơ thể.

quizzes_lightbulb_red
Test your KnowledgeTake a Quiz!