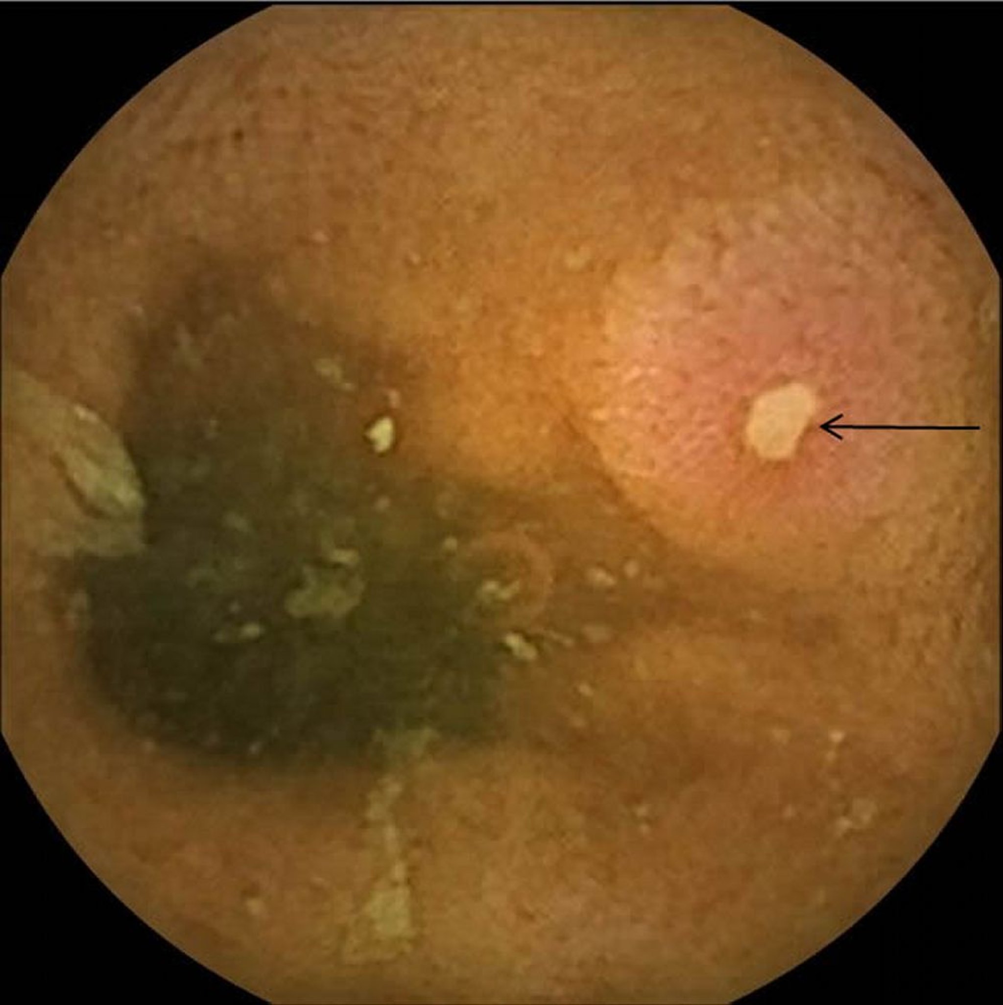
Ulcer of the Ileum in Crohn Disease
This photo shows video capsule endoscopy of a characteristic aphthous ulcer of Crohn disease. The ulcer (arrow) is a small, central, white depression with a slightly elevated and erythematous border.
Photo courtesy of Drs. Aaron E. Walfish and Rafael A. Ching Companioni.
Серед цих тем
