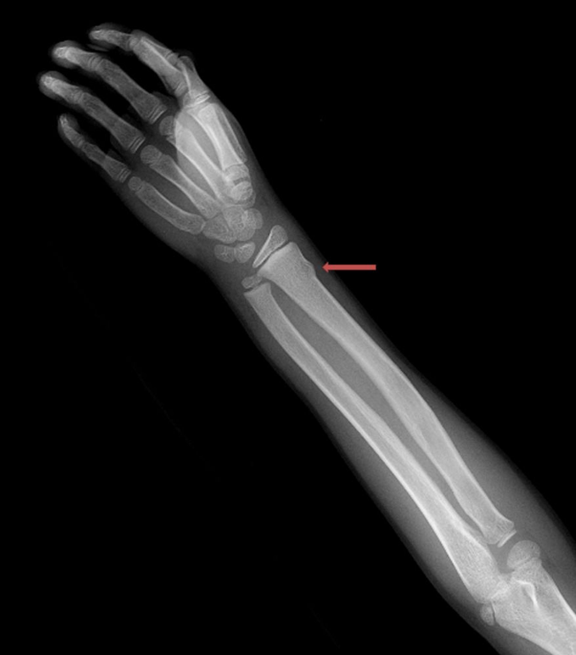
Компресійний веретеноподібний перелом зап'ястка
Такий компресійний веретеноподібний перелом дистального відділу променевої кістки візуалізується лише у вигляді незначних нерівностей кіркового кісткового шару.
LIVING ART ENTERPRISES, LLC/НАУКОВА ФОТОБІБЛІОТЕКА
Серед цих тем
