Ендокринна офтальмопатія (КТ)
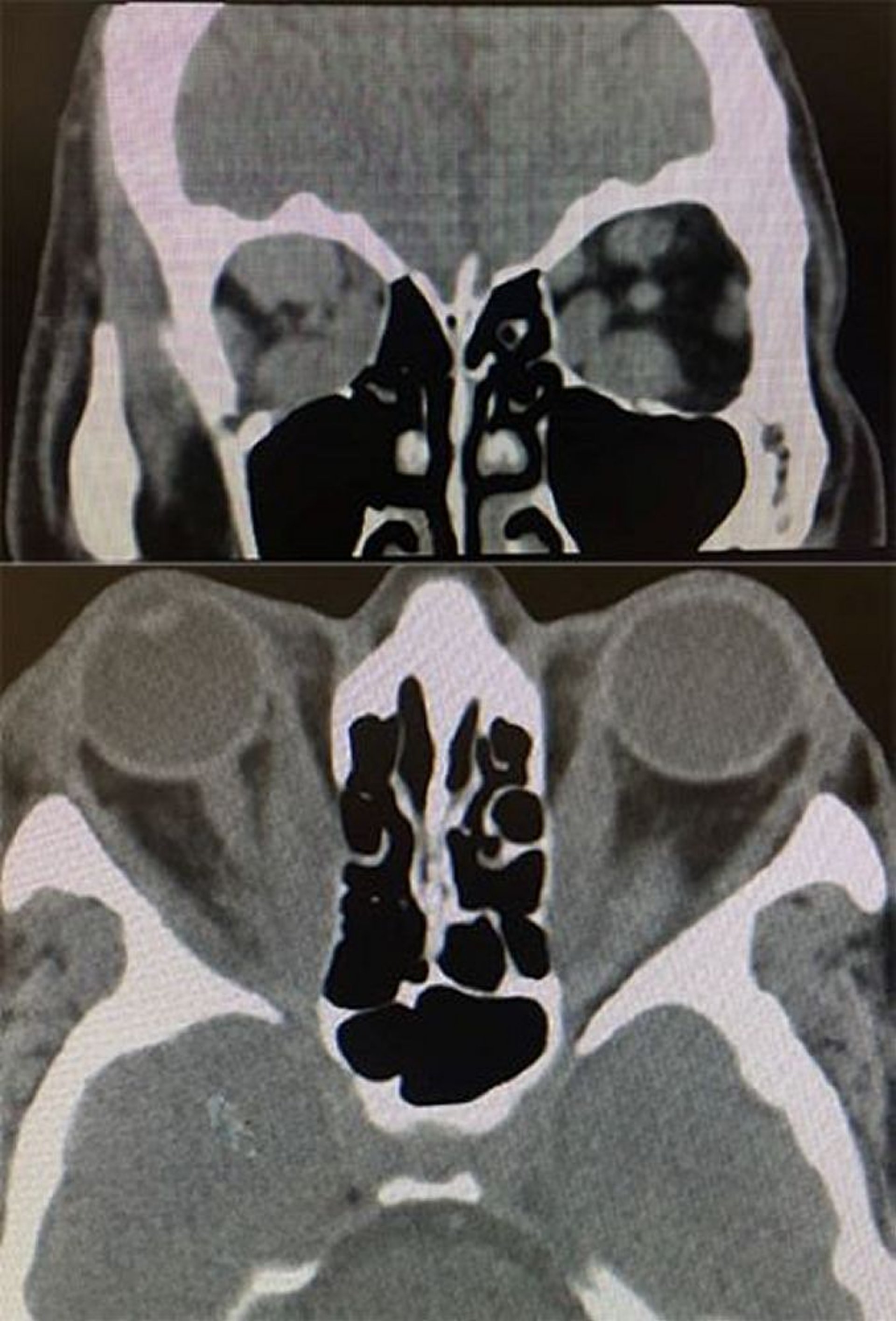
In this image, axial and coronal CT scans show findings in thyroid eye disease. Bottom: The axial CT scan shows tendon-sparing enlargement of the medial rectus muscle, bilaterally. Top: The coronal CT scan shows enlargement of the inferior, superior, and medial rectus muscles more on the right than left.
Images courtesy of Richard C. Allen, MD, PhD.
Серед цих тем
