Subarachnoid Hemorrhage
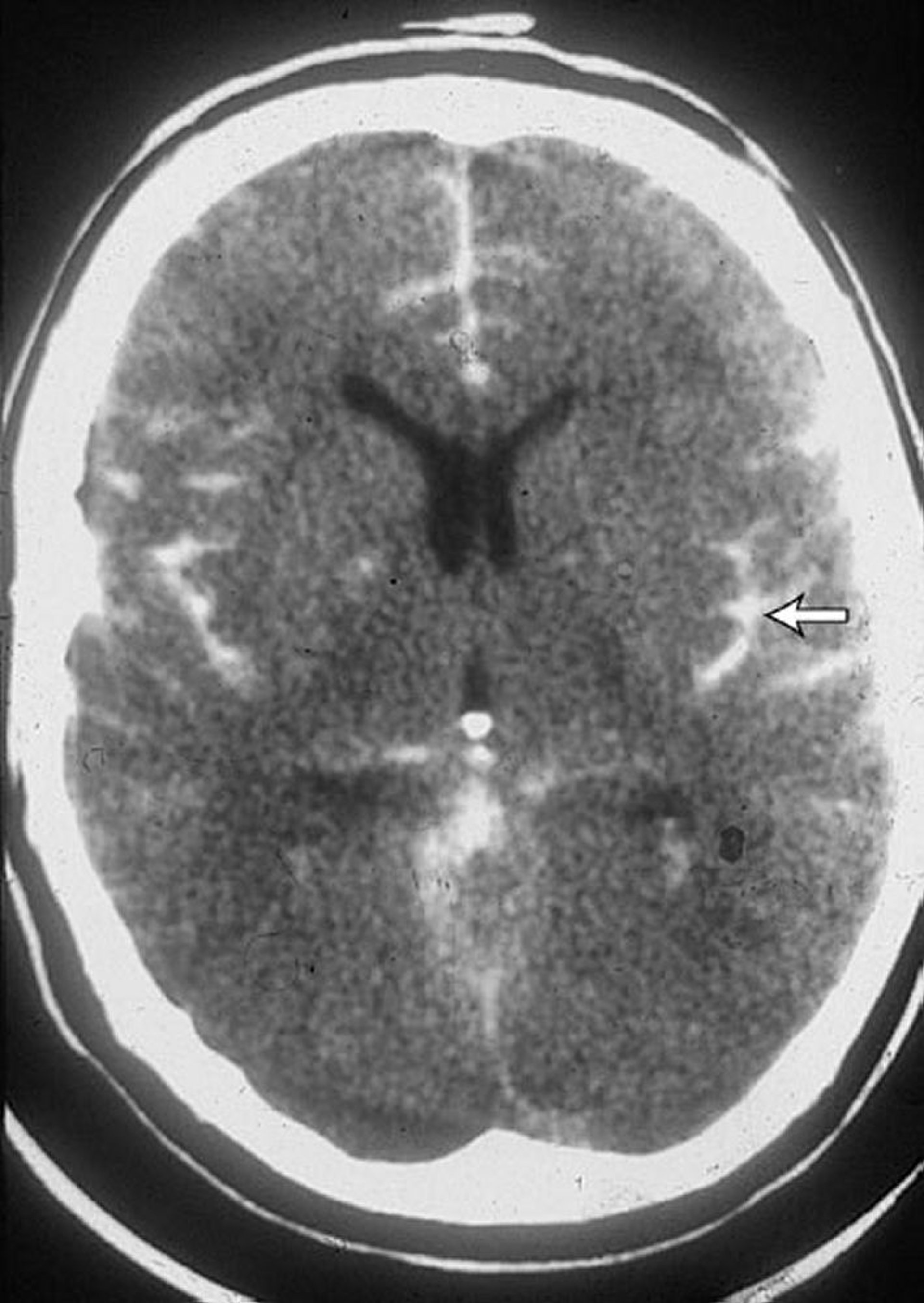
This CT scan in a patient with a subarachnoid hemorrhage shows blood in the sulci (arrow). Blood is often also seen in the ventricles.
By permission of the publisher. From Lenaerts M, Couch J. In Atlas of Clinical Neurology. Edited by RN Rosenberg. Philadelphia, Current Medicine, 2002.
Серед цих тем
