Squamous Cell Carcinoma of the Esophagus
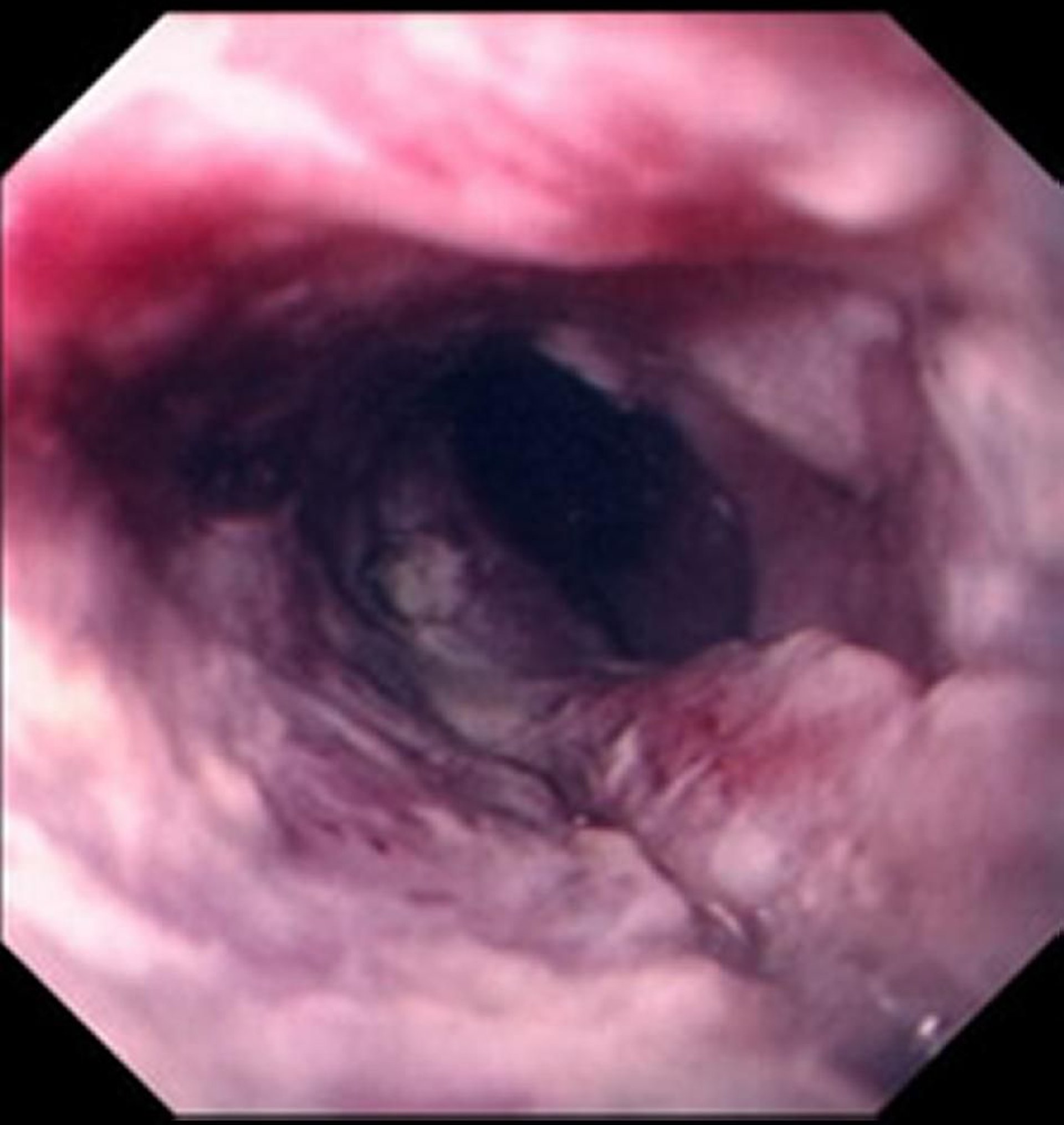
Squamous cell carcinoma typically manifests as an ulcerated, ragged mass compromising the lumen of the esophagus.
Images provided by David M. Martin, MD.
Серед цих тем
Squamous cell carcinoma typically manifests as an ulcerated, ragged mass compromising the lumen of the esophagus.
Images provided by David M. Martin, MD.