Плоскоклітинна карцинома (ураження ясен)
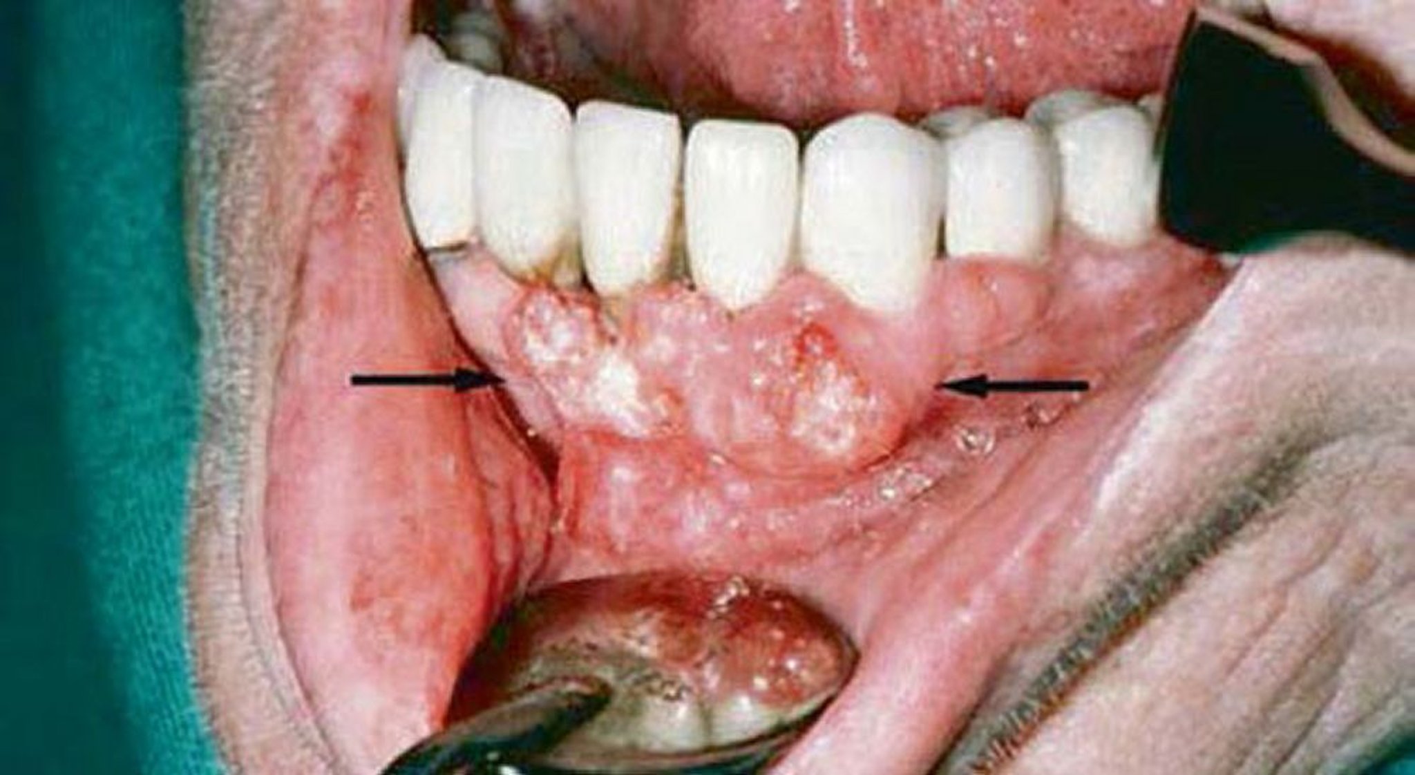
Gingival examination of this patient showed evidence of squamous cell carcinoma. Imaging studies showed invasion of the mandible.
© Springer Science+Business Media
Серед цих тем
Gingival examination of this patient showed evidence of squamous cell carcinoma. Imaging studies showed invasion of the mandible.
© Springer Science+Business Media