ОФЕКТ при нещодавній стенокардії
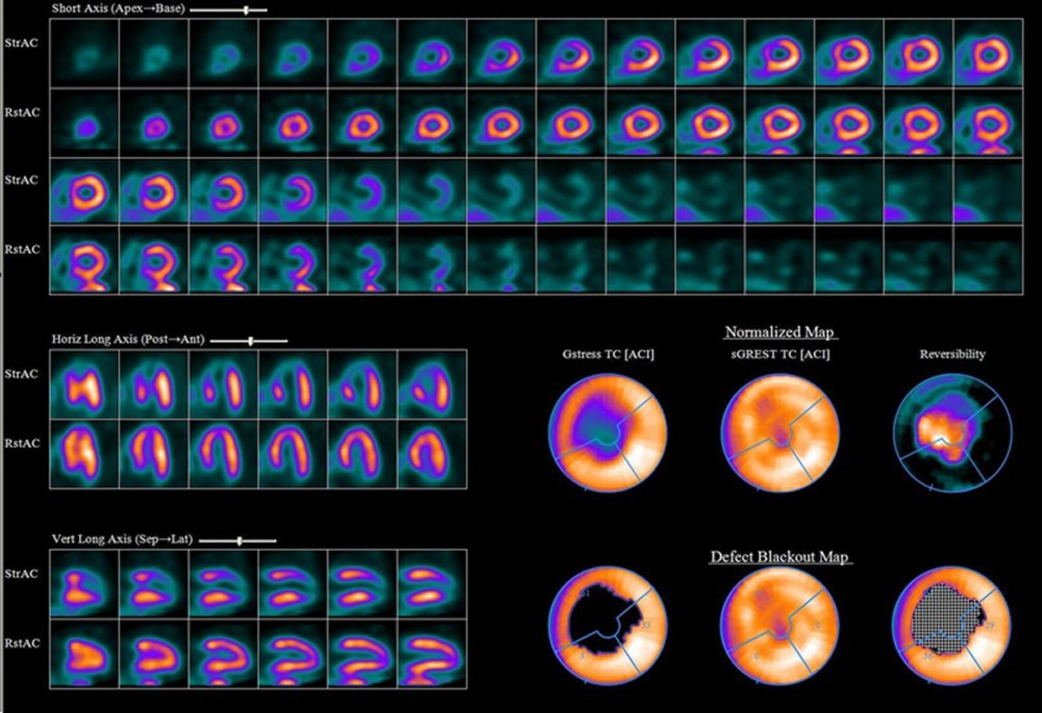
Stress and rest images from single-photon emission computed tomography (SPECT) of a 52-year-old man with recent-onset angina. Images obtained during stress (rows of images or polar maps denoted Str or Stress) show a large area of ischemia in the territory fed by the left anterior descending (LAD) artery that is absent at rest (rows of images or polar maps denoted Rst or Rest). Angiography confirmed a 95 to 99% occlusion involving the bifurcation of the LAD at the first diagonal branch. The stress images show less uptake (more purple or dull) than the bright areas at rest.
Image provided by James R. Corbett, MD.
Серед цих тем
