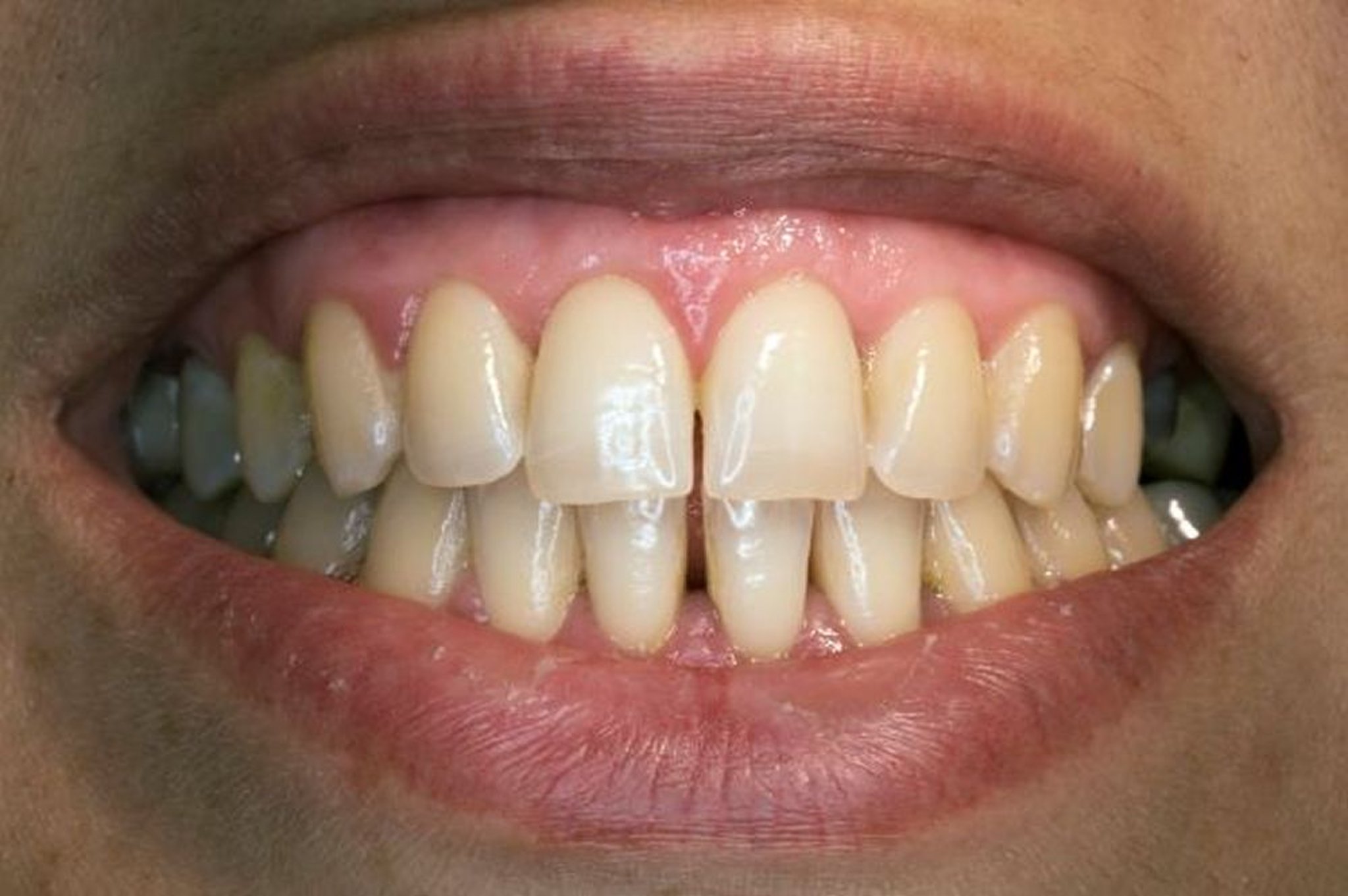
Відносно здорові ясна та зуби
The relatively healthy mouth depicted here shows some stain and calculus, but the gingivae are healthy: firm, tightly adapted to the teeth, and contoured to form fine interdental papillae.
DR ARMEN TARANYAN/SCIENCE PHOTO LIBRARY
Серед цих тем
