Гістіоцитоз легеневих клітин Лангерганса
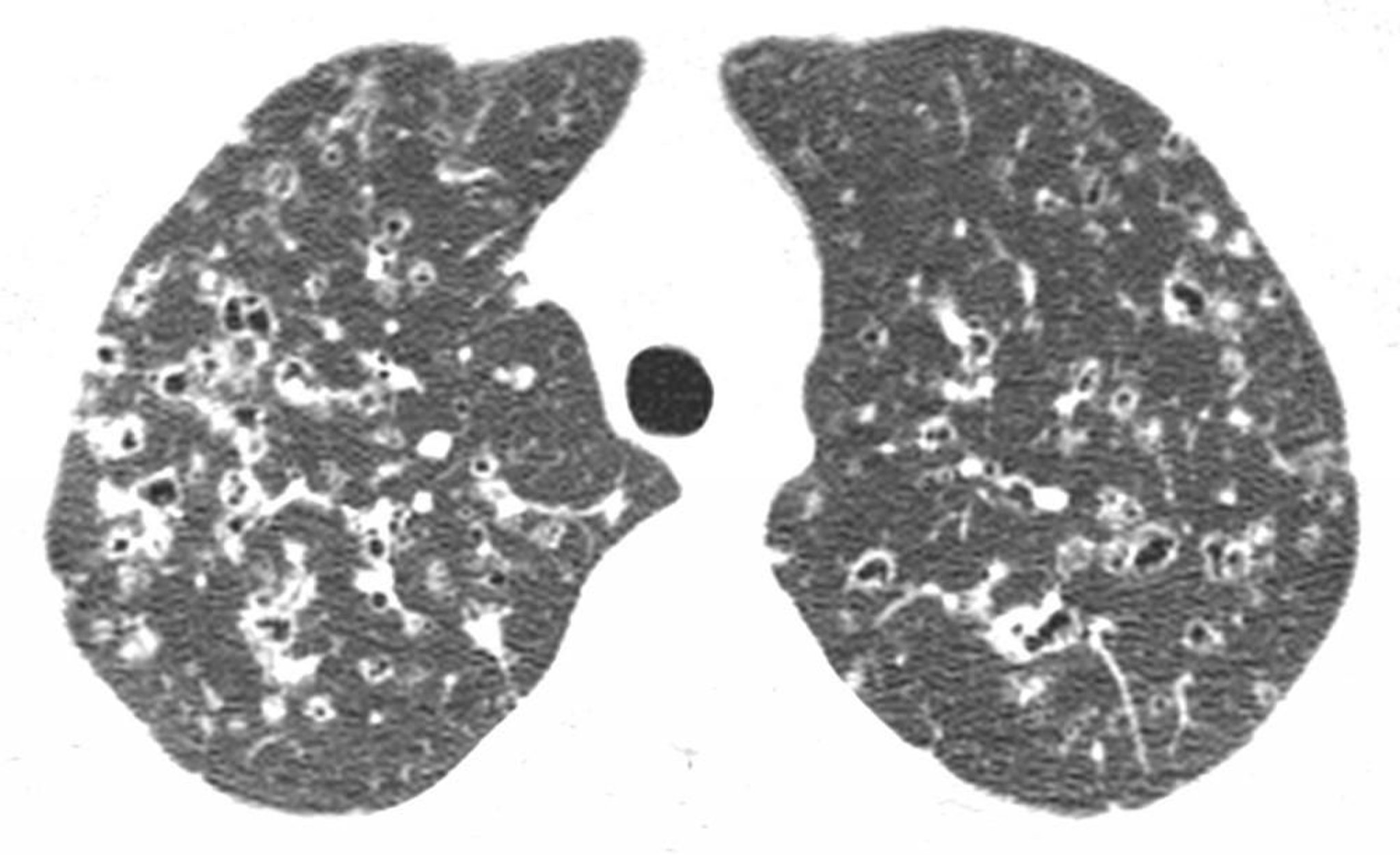
High-resolution CT through the upper lobes shows nodules and irregular air-density cysts, usually in the upper and mid-lung regions. These findings are characteristic of Langerhans cell histiocytosis in a patient with a history of smoking.
Image courtesy of Harold R. Collard, MD.
Серед цих тем
