Легеневий альвеолярний протеїноз (КТ сканування)
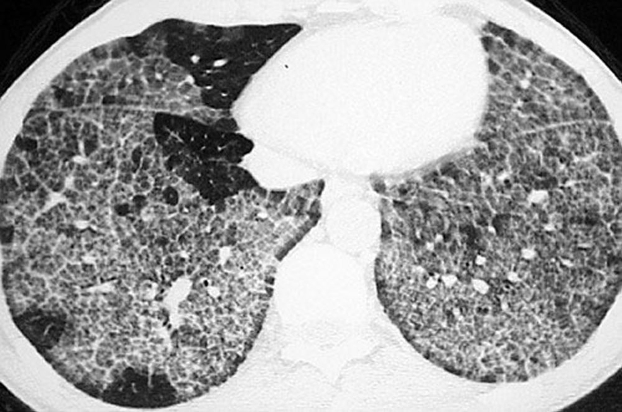
High-resolution CT shows ground-glass opacification and thickened intralobular structures and septa in polygonal shapes ("crazy-paving").
Image courtesy of Talmadge E. King, MD.
Серед цих тем
High-resolution CT shows ground-glass opacification and thickened intralobular structures and septa in polygonal shapes ("crazy-paving").
Image courtesy of Talmadge E. King, MD.