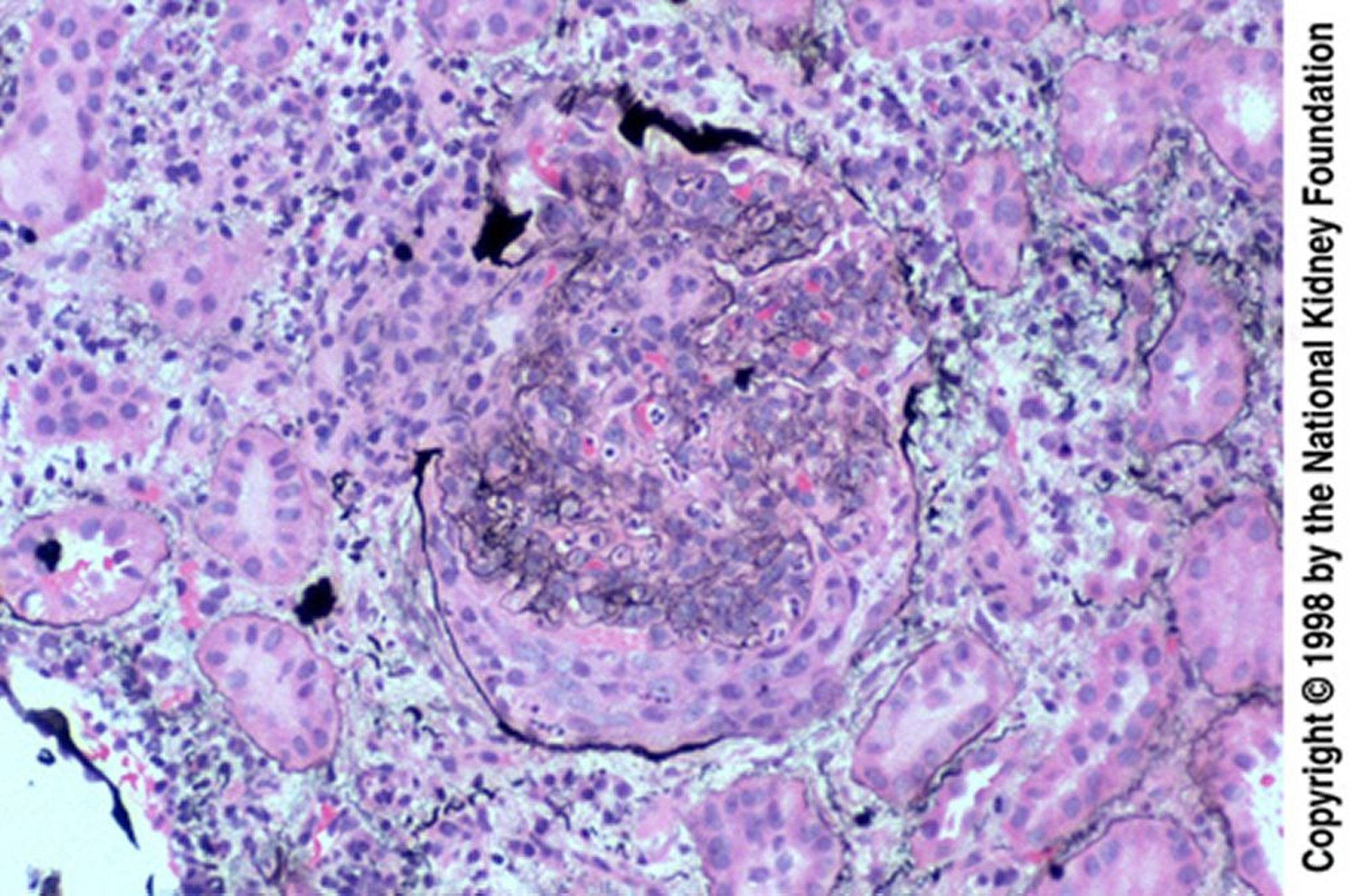
Постінфекційний гломерулонефрит (епітеліальні півмісяці)
Epithelial crescents are especially common when biopsy occurs late, after a failed response to treatment. The crescent has ruptured Bowman capsule (Jones silver stain, ×200).
Image provided by Agnes Fogo, MD, and the American Journal of Kidney Diseases' Atlas of Renal Pathology (see www.ajkd.org).
Серед цих тем
