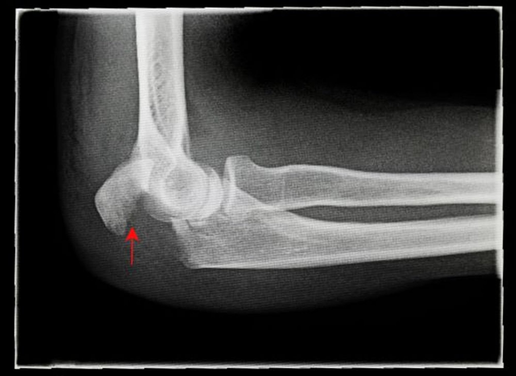
Перелом ліктьового відростка
Рентгенографія у бічній проекції демонструє перелом ліктьового відростка зі зміщенням (стрілка).
Подяка: АНТОНІЯ РІВ (ANTONIA REEVE)/НАУКОВА ФОТОБІБЛІОТЕКА
Серед цих тем
Рентгенографія у бічній проекції демонструє перелом ліктьового відростка зі зміщенням (стрілка).
Подяка: АНТОНІЯ РІВ (ANTONIA REEVE)/НАУКОВА ФОТОБІБЛІОТЕКА