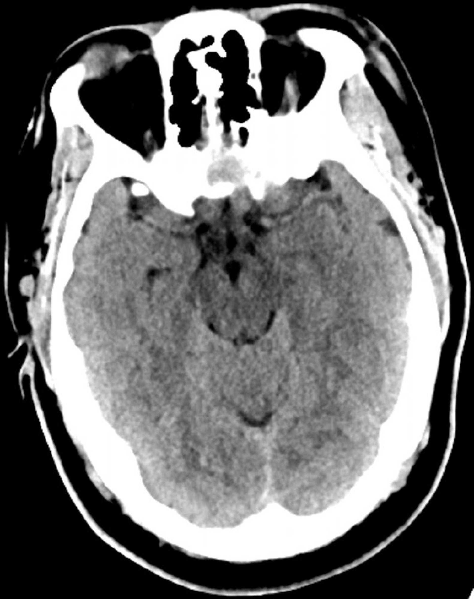
Normal Head CT Scan (Adult, Age 30) – Slide 6
This image is a normal CT scan of the head of a young adult aged 30. There is no intra- or extra-axial fluid or hemorrhage. Grey-white differentiation is preserved. Ventricular size and sulcal pattern are normal.
© 2017 Elliot K. Fishman, MD.
Серед цих тем
