honeypot link
skip to main content
  • стежте за нами в
  • стежте за нами в Twitter
MSDMSD Довідникверсія для фахівців
МЕДИЧНІ ТЕМИ (УКРАЇНСЬКИЙ)МЕДИЧНІ ТЕМИ (YCI)РЕСУРСИПРОЦЕДУРИПРО
homeМЕДИЧНІ ТЕМИ (УКРАЇНСЬКИЙ)
Search icon
  1. <ЗОБРАЖЕННЯ
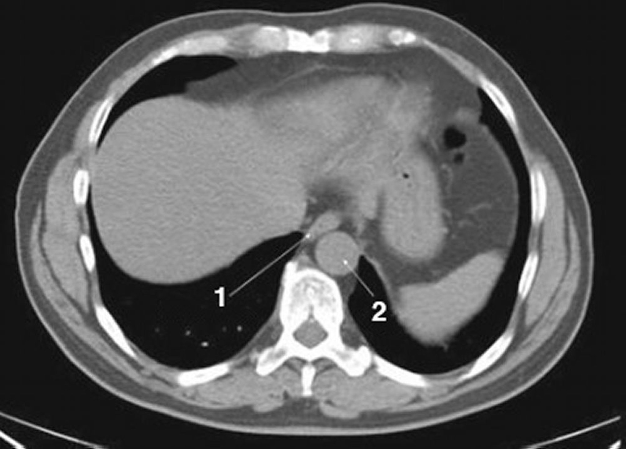
    Noncontrast CT Scan of the Abdomen and Pelvis Showing Normal Anatomy (Slide 1)

    Noncontrast CT Scan of the Abdomen and Pelvis Showing Normal Anatomy (Slide 1)

    1 = esophagus; 2 = aorta.

    © Springer Science+Business Media

    Серед цих тем
    • Обстеження пацієнта із шлунково-кишковою патологією >
    MSD
    • Про нас
    • Відмова від права
    • Дозволи
    • Конфіденційність
    • Cookie Preferences
    • Умови використання
    • Ліцензування
    • Зв'язатися з нами
    • Ветеринарний довідник
    This icon serves as a link to download the eSSENTIAL Accessibility assistive technology app for individuals with physical disabilities. It is featured as part of our commitment to diversity and inclusion.
    This icon serves as a link to download the eSSENTIAL Accessibility assistive technology app for individuals with physical disabilities. It is featured as part of our commitment to diversity and inclusion.
    MSD

    Копірайт© 2026Компанія Merck & Co., Inc., Равей, Нью-Джерсі, США, та її філії. Всі права збережено.