Невропатична артропатія стопи
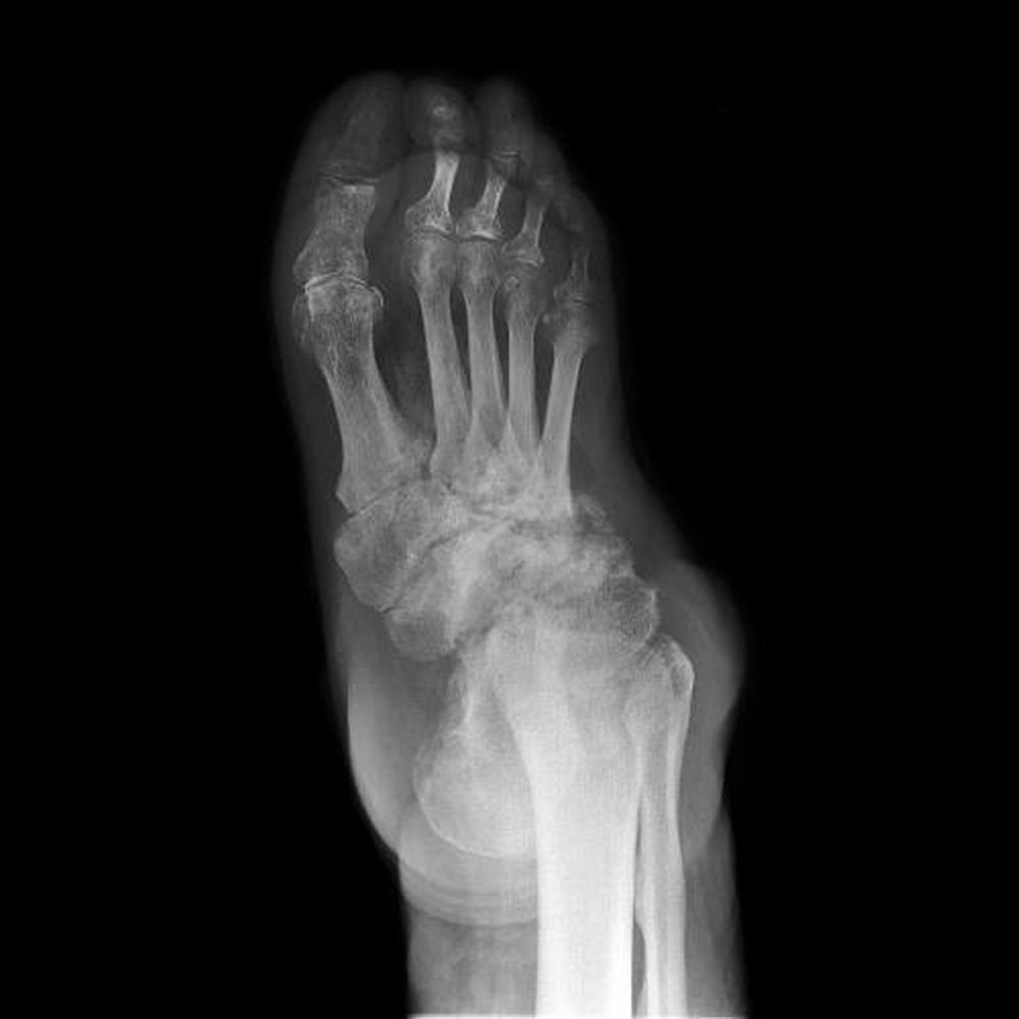
This radiograph shows neuropathic arthropathy of the foot (also known as Charcot foot). Destruction, deformities, and loss of joint spaces of the tarsal bones is extensive.
SCIENCE PHOTO LIBRARY
Серед цих тем
This radiograph shows neuropathic arthropathy of the foot (also known as Charcot foot). Destruction, deformities, and loss of joint spaces of the tarsal bones is extensive.
SCIENCE PHOTO LIBRARY