Абсцес легень (рентгенограма)
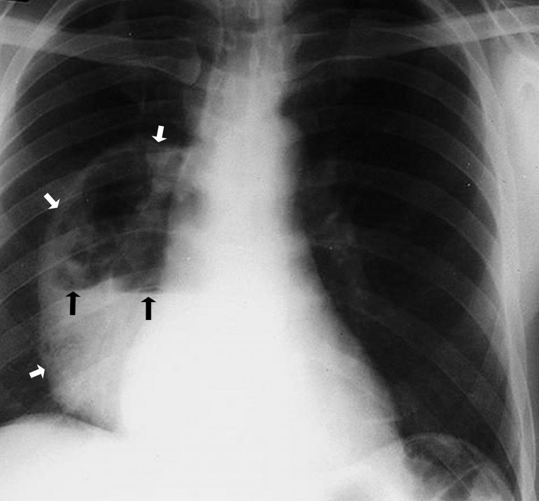
This photo shows a large right lower lobe abscess demonstrating a cavity that contains an air-fluid level. The white arrows point out the boundary of the abscess showing the walls separated from the lung parenchyma. The black arrows demarcate the level where the air above and fluid below meet.
By permission of the publisher. From Leaf H. In Atlas of Infectious Diseases: Pleuropulmonary and Bronchial Infections. Edited by GL Mandell (series editor) and MS Simberkoff. Philadelphia, Current Medicine, 1996.
Серед цих тем
