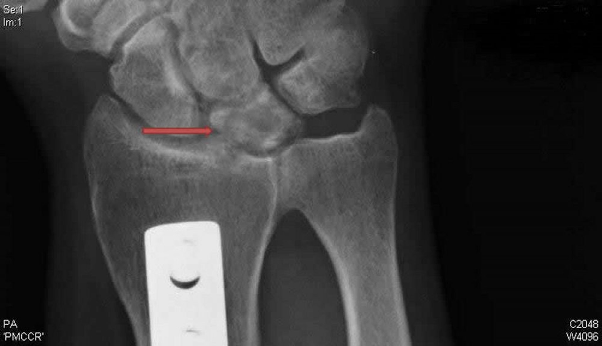
Хвороба Кінбека (рентгенограма у передньо-задній проекції)
This posteroanterior radiograph of the right wrist shows cysts and sclerosis of the lunate bone (arrow) typical of Kienböck disease. The metal plate is evidence of a radial shortening osteotomy that was done in an effort to unload the lunate and potentially treat this condition.
Radiograph courtesy of David R. Steinberg, MD.
Серед цих тем
